
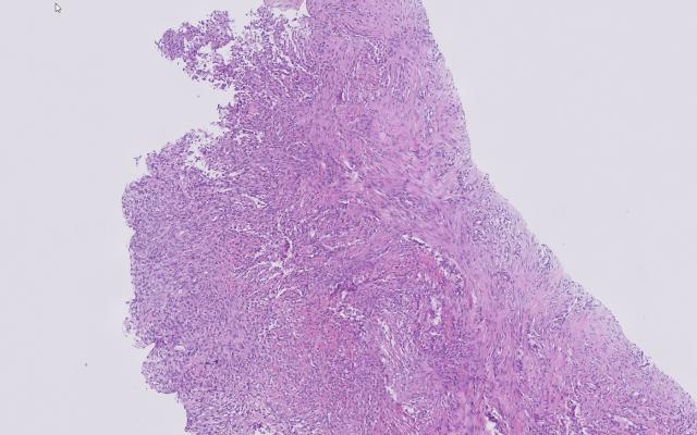
Diagnose in beeld
Hier vind je alles op het gebied van ‘Pathologie’. Ben jij een patholoog? Volg dit vakgebied en ontvang een mail wanneer er een nieuw artikel of een nieuwe toets of beeldquiz binnen jouw specialisme is gepubliceerd. Zo ben je altijd op de hoogte.
