Zou dit een uitzaaiing zijn?

Gepubliceerd:

1671 deelnemers

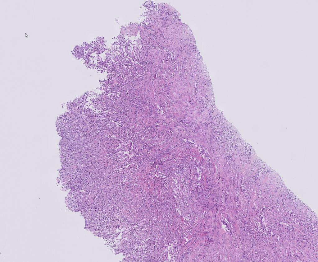
Microscopisch beeld

Een 28-jarige patiƫnte bezoekt haar huisarts wegens een 2 weken bestaande niet-pijnlijke, onderhuidse zwelling op haar onderbuik. Er zijn geen palpabele lymfklieren. Twee jaar geleden had ze een melanoma in situ op haar rechter onderbeen, waarvoor radicale excisie en re-excisie plaatsvonden. Ze is erg ongerust: kan dit een uitzaaiing van de eerder weggesneden huidtumor zijn?

Wat pleit het meest tegen een afstandsmetastase?

Antwoord