Niet altijd zo kwaadaardig als het lijkt

Een harde onderhuidse bult

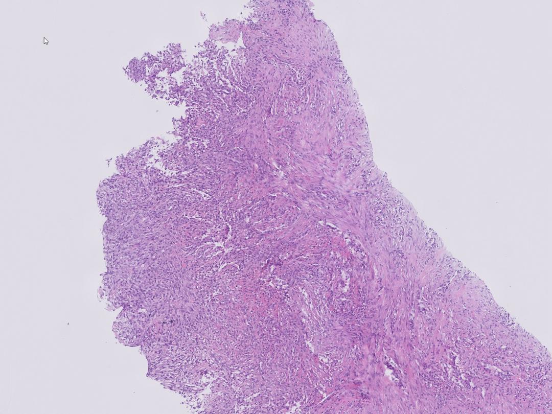
Microscopisch beeld
Abstract
Jade G.M. Logger
Ellen H.C.J. Liberton
Rob J.C. Vogels
Sander van der Wolk

Samenvatting

Achtergrond

Nodulaire fasciitis is een zeldzame, benigne wekedelentumor bij jongvolwassenen op de armen of romp.

Casus

Een 24-jarige vrouw bij wie eerder een pretibiaal melanoma in situ was geëxcideerd, kwam bij de huisarts met op de onderarm een pijnloze, onderhuidse harde zwelling die in twee weken snel gegroeid was. Echografie liet een subcutane, grillig gevormde, gevasculariseerde massa zien, verdacht voor een maligniteit. Drie dagen later was de zwelling spontaan geslonken. Een nieuwe echo liet een kleinere, ovale, scherp begrensde afwijking zien met inflammatoir aspect. Bij histopathologisch-immunohistochemisch onderzoek van een punctiebiopt zag men een spoelcellige afwijking die bestond uit (myo)fibroblasten met geringe erytrocytextravasatie, passend bij nodulaire fasciitis. Een expectatief beleid werd gevoerd; drie maanden later was de nodus volledig verdwenen.

Conclusie

Nodulaire fasciitis dient in de differentiaaldiagnose te staan bij hard aanvoelende, snelgroeiende, subcutane zwellingen bij jongvolwassenen. Echografisch zijn deze lastig te differentiëren van een maligne wekedelentumor. Een biopt is noodzakelijk om de diagnose met zekerheid te bevestigen.

Auteursinformatie

Elkerliek, Helmond, afd. Dermatologie: dr. J.G.M. Logger, arts-assistent dermatologie (thans: MUMC Maastricht); drs. E.H.C.J. Liberton, dermatoloog; afd. Radiologie: drs. S. van der Wolk, radioloog. Eurofins PAMM, Eindhoven: drs. R.J.C. Vogels, patholoog.

Contact J.G.M. Logger (jade.logger@mumc.nl)

Belangenverstrengeling

Belangenconflict en financiële ondersteuning: ICMJE-formulieren met de belangenverklaring van de auteurs zijn online beschikbaar bij dit artikel.

Auteur Belangenverstrengeling
Jade G.M. Logger ICMJE-formulier
Ellen H.C.J. Liberton ICMJE-formulier
Rob J.C. Vogels ICMJE-formulier
Sander van der Wolk ICMJE-formulier
Heb je nog vragen na het lezen van dit artikel?
Check onze AI-tool en verbaas je over de antwoorden.
ASK NTVG

Ook interessant

Reacties