Overslaan en naar de inhoud gaan
Kruimelpad
Home
Artikelen
Filter Artikelen
Rubriek
Klinische praktijk
(718)
10 vragen over
(44)
Diagnose in beeld
(161)
Klinische praktijk
(108)
Casuïstiek
(130)
Stand van zaken
(65)
Leerartikel
(161)
Nieuwe technieken
(13)
Nieuwe technieken: 5 jaar later
(18)
Richtlijnen
(2)
Dilemma
(10)
10 tips
(5)
In het kort
(344)
In het kort
(176)
Nieuws
(166)
Opinie
(666)
Commentaar
(161)
Redactioneel
(175)
Ter discussie
(111)
Column
(163)
Promotiestelling
(56)
Onderzoek
(119)
Onderzoek
(116)
Aankondiging van onderzoek
(3)
Perspectief
(235)
Recht en Ethiek
(47)
Zorg
(110)
Historisch perspectief
(19)
Futuristisch perspectief
(4)
Organisatie van zorg
(22)
Metamedica
(12)
Juridische vraag
(8)
Perspectief op onderzoek
(5)
Onderwijs
(4)
Humaniora
(4)
Varia
(204)
Maak kennis met
(140)
Infographics
(38)
In memoriam
(13)
Media
(13)
Journalistiek
(192)
De spreekkamer
(24)
Medische journalistiek
(24)
Onderzoeksjournalistiek
(27)
Analyse
(32)
Interview
(85)
Gezonde Zorg
(9)
Toepassen
Vakgebieden
Bekijk alle artikelen binnen een vakgebied
Vakgebieden A-Z
Casuïstiek
Een insult tijdens de zwangerschap
Casuïstiek
Omgaan met opioïdafhankelijkheid en -onthouding in het ziekenhuis
Casuïstiek
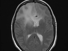
Influenza-geassocieerde acute necrotiserende encefalitis
Casuïstiek
Onwel na het eten van een stukje chocolade
Casuïstiek
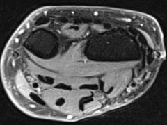
Ernstige handinfectie door tamme-rattenbeet
Casuïstiek
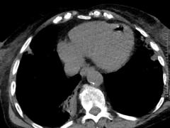
Cerebrale arteriële luchtembolie
Casuïstiek
Peesruptuur na injectie van corticosteroïden in ganglioncyste
Casuïstiek
Reumatische klachten door immunotherapie bij kanker
Casuïstiek
Borstkanker tijdens en na de zwangerschap
Casuïstiek
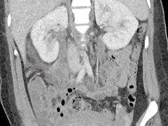
Een kraamvrouw met pijn rechts in de onderbuik
Laad Meer Artikelen