Het is voor onderzoeksjournalisten vrij onmogelijk om echt dieper in de ontstane problematiek te duiken of goed te kunnen duiden waar het mis ging , zonder historische inzichten over hoe onze medische kennis zich in ons land ging ontwikkelen en hoe het…
Deze resultaten komen grotendeels overeen met ons eerdere dossieronderzoek (Bekker et al. 2022) in de Nederlandse huisartsenpraktijk, in een overlappende periode (2003-2016). In een veel kleiner sample (n=150) keken wij retrospectief naar alle notities in…
Zinvol handelen bij postcovid Op indrukwekkende wijze schetsen de auteurs van dit artikel de impact van postcovid op het leven van een moeder en van een middelbare scholier. Vooral bij de eerste patiënte is het goed na te volgen hoe er ondanks de inzet van…
De legenda van een eerdere versie van figuur 3 klopte niet. Daarin was 'zeer oneens' verwisseld met 'zeer mee eens'; en 'oneens' met 'mee eens'. Dit is inmiddels gecorrigeerd. De juiste versie van de figuur staat in het artikel hierboven.
Is de legenda en de uitleg bij figuur 3 wel juist? Ik zie daar juist veel oordelen minder gunstig voor de herbruikbare mat dan voor de wegwerpmat. Of lees ik het verkeerd?
in de tekst staat dat het om de ringvinger van patiënt gaat, maar in de laatste regel van die alinea staat wijsvinger. nog aanpassen? Naschrift redactie: dank voor de correctie. Wij zullen dit in de online tekst graag aanpassen.
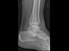
De hielkieptest Ter aanvulling een anekdote waarmee de tarsale coalitie wat toegankelijker is voor de eerstelijns diagnostiek. Wekenlang heb ik rondgelopen met een calcaneus en een talus in de diepe zak van mijn witte jas. Allebei echt en beide van rechts…
In de bespreking door Donica Lodder van de Big Baby Trial ontbreekt het helaas aan nuance, waardoor het lijkt alsof vroeg inleiden bij vermeende macrosomie wenselijk is. Het is jammer dat alleen een Nederlandse gynaecoloog gevraagd is om de studie te…
Complimenten aan Zwerver en Boersma voor hun overzichtsartikel over de diagnostiek en behandeling van peesproblemen. Zij bespreken daarin beknopt de voor- en nadelen van corticosteroïdinjecties en verwijzen naar het artikel van Coombes e.a. uit 2010. In…
Een reactieve tendinopathie is primair een belasting/peesweefsel-probleem, geen spiertriggerpunt-probleem. Dry needling richt zich op myofasciale triggerpoints in spieren; het grijpt dus niet aan op de peespathologie zelf. Pijnmodulatie kan kortstondig…
Kennis verlies