Wat te doen?

Toename van dyspneu bij covid-19-patiënten

Klinische praktijk
Abstract
Duco D. Deenstra
Marten R. Nijziel
Arnoud F. Aldenkamp
Roland H.H. van Balkom
Frank W.J.M. Smeenk
Download PDF

Rectificatie

Op dit artikel is de volgende verbetering gekomen:

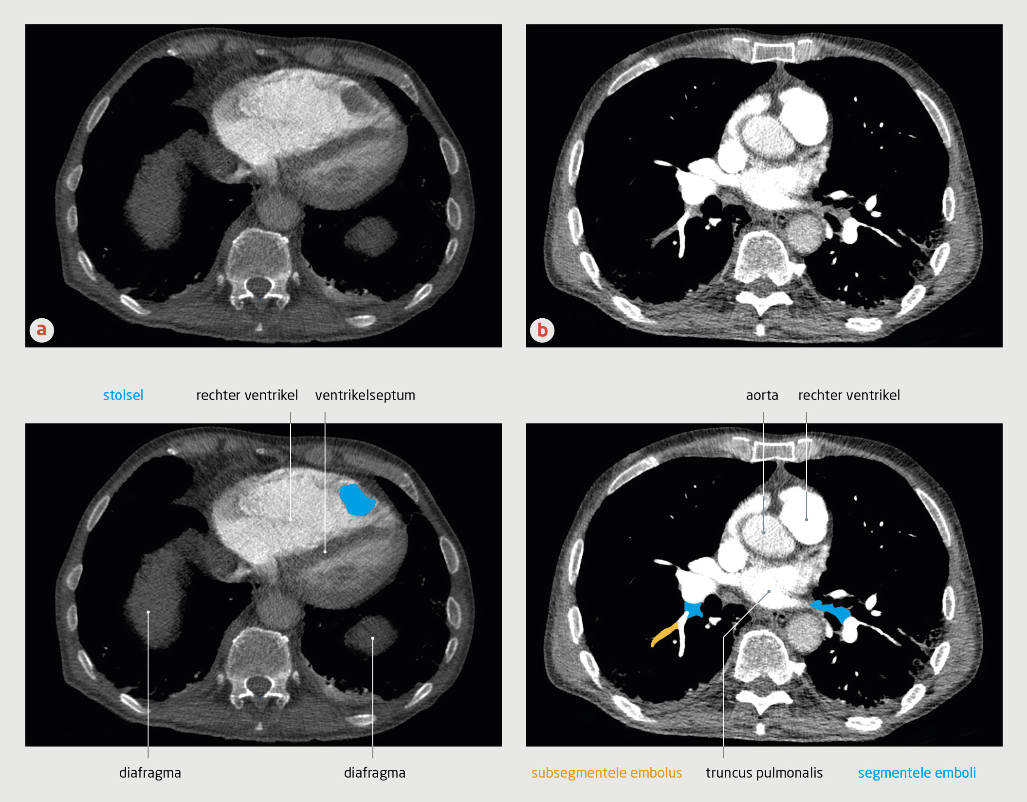
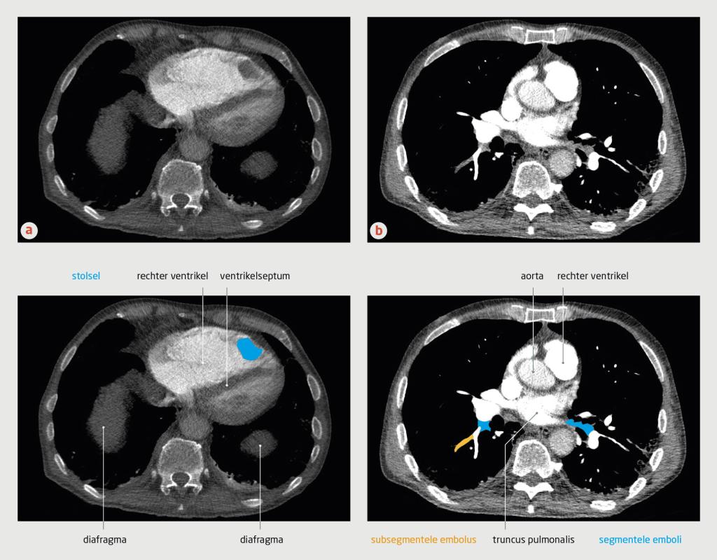
In de verklarende tekening bij figuur 3b van dit artikel zijn enkele structuren onjuist aangegeven. In het onderschrift bij deze figuur staat ten onrechte dat in figuur 3b segmentele embolieën zichtbaar zijn. Hieronder staat de juiste figuur met het correcte onderschrift.

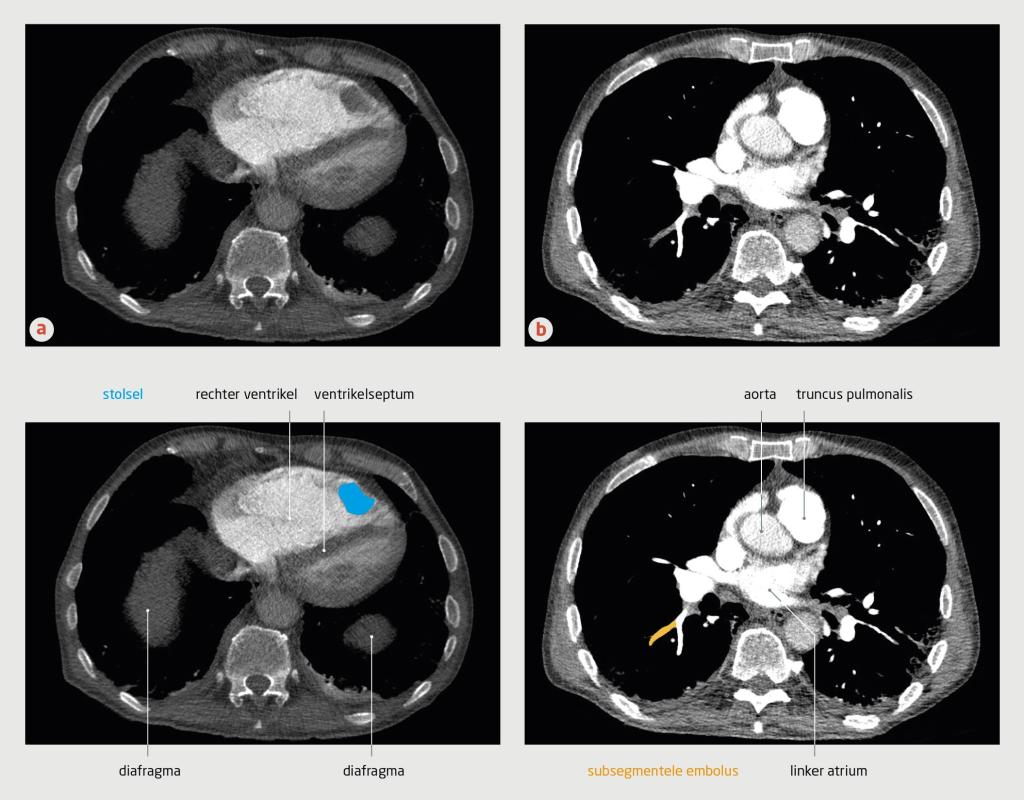
Figuur 3

CT-angiografie van de thorax van patiënt C


CT-angiografie met contrast van patiënt C (transversale coupe). (a) In de rechter ventrikel bevindt zich een stolsel. De rechter ventrikel is vergroot en er is sprake van septumdeviatie, passend bij overbelasting van de rechter ventrikel. (b) Bij deze patiënt was sprake van subsegmentele longembolieën.

Dames en Heren,

Sinds de diagnose ‘covid-19’ in Nederland voor het eerst werd gesteld is het aantal patiënten dat met covid-19 werd opgenomen in Noord-Brabant en later in heel Nederland snel gestegen. De behandeling is vooral ondersteunend omdat er vooralsnog geen curatieve behandeling is. Ziekenhuisopname is geïndiceerd bij forse kortademigheid of zuurstofdesaturatie. Toename van de kortademigheid kan te wijten zijn aan covid-19, maar dat is niet altijd het geval, zoals blijkt uit de ziektegeschiedenis van deze drie patiënten.

Kernpunten
  • Denk bij alle covid-19-patiënten aan longembolie, met name bij niet goed verklaarde hypoxemie, respiratoire achteruitgang, hypotensie, tachycardie en onvoldoende verbetering van het klinische beeld, vooral als de verslechtering plotseling optreedt.
  • Bij covid-19-patiënten kan zelfs bij ogenschijnlijk adequate tromboseprofylaxe veneuze trombo-embolie optreden.
  • Verricht bij klinische achteruitgang van een covid-19-patiënt laagdrempelig CT-angiografie van de thorax.
  • Geef covid-19-patiënten op de verpleegafdeling een lage dan wel hoge profylactische dosis laag-molecuulgewichtheparine, conform de landelijke Leidraad covid-19 coagulopathie, gezien de relatief hoge incidentie van VTE bij deze patiëntengroep.

artikel

Ziekenhuisopname van covid-19-patiënten is geïndiceerd bij forse kortademigheid (ademfrequentie > 24/min) of significante desaturatie (lager dan 92-94%) waarvoor zuurstoftherapie noodzakelijk is. Als in het beloop van de infectie de kortademigheid bij patiënten toeneemt, kan dit berusten op toename van de door covid-19 veroorzaakte inflammatoire reactie in de longen; deze treedt vaak op in de zogenoemde 2e fase van de ziekte.1 Niettemin moeten ook andere oorzaken, zoals secundaire bacteriële infecties, decompensatio cordis en veneuze trombo-embolie (VTE), worden uitgesloten. Het is dan ook belangrijk om bij toename van kortademigheid in het beloop van een covid-19-infectie te blijven denken aan de bijbehorende differentiaaldiagnose en de toename niet te gemakkelijk te wijten aan het beloop van de covid-19-infectie zelf.

Patiënt A, een man van 67 jaar die bekend was met een lumbale scoliose, kwam op de Spoedeisende Hulp (SEH) met piekende koorts, droge hoest, moeheid sinds 2 weken en een drukkend gevoel op het sternum. Over de longen werden bilaterale crepitaties gehoord. Bij laboratoriumonderzoek vonden wij een lymfopenie (0,65 x109/l), een verhoogde LDH-waarde (326 U/l) en een respiratoire alkalose in de arteriële bloedgasanalyse (pH: 7,55 (referentiewaarde: 7,35-7,45); Pco2: 26 mmHg (referentiewaarde: 5-48); Po2: 77 mmHg met een sterk verhoogde alveolo-arteriële zuurstofgradiënt (PA-ao2: 40 mmHg). Op de X-thorax werden geringe bilaterale consolidaties gezien. De D-dimeerwaarde was > 4,0 mg/l (referentiewaarde < 1 mg/l).

Vanwege de relatief late achteruitgang in het ziekteproces –14 dagen na de eerste klachten – met een discrepantie tussen het klinisch beeld – ernstige dyspneu, thoracale pijn en verhoogde A-a-gradiënt – en de relatief beperkte röntgenologische afwijkingen met sterk verhoogde D-dimeerwaarde, lieten wij een CT-angiografie van de thorax (CT-A) verrichten. Deze liet een lichte bilaterale interstitiële pneumonie zien. Daarnaast werden segmentele en subsegmentele longembolieën in de rechter onderkwab en middenkwab gezien.

De ernstige kortademigheid met sterk verhoogde A-a-gradiënt zal bij deze patiënt berust hebben op een combinatie van longembolie en interstitiële longafwijkingen door de covid-19-infectie. Hij werd opgenomen en behandeld met cefuroxim, chloroquine en rivaroxaban. De volgende dag was de uitslag van covid-19-test positief. Patiënt kon na 6 dagen in goede conditie worden ontslagen.

Patiënt B, een 29-jarige man met diabetes mellitus type 1, kwam op de SEH met dyspneu. Hij had sinds 2 weken last van griepachtige klachten met dyspneu, hoesten, verminderde eetlust en spierpijn. Zijn kortademigheid was de laatste 3 dagen geleidelijk aan sterk toegenomen, zodat hij op het laatst nog nauwelijks zelfstandig naar het toilet kon komen. Over de longen werden bilaterale crepitaties gehoord. Omdat er sprake was van een arteriële hypoxemie (Po2: 74 mmHg; referentiewaarde: 83-108), lymfopenie (0,53 x 109; referentiewaarde: 1,0-3,5), een verhoogde LDH-waarde (655 U/l; referentiewaarde < 250), een CRP-waarde van 120 mg/l (referentiewaarde: < 6) en bilaterale consolidaties op de thoraxfoto (figuur 1), werd hij opgenomen met sterke verdenking op covid-19; de volgende dag was de uitslag van de covid-19-test positief.

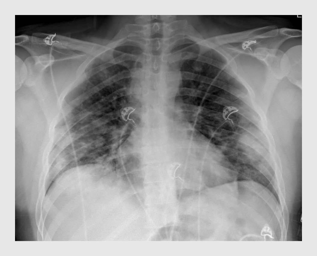
Figuur 1
Thoraxfoto van patiënt B
Deze patiënt was na 2 weken met klachten passend bij covid-19 toenemend kortademig geworden
Figuur 1 | Thoraxfoto van patiënt B | Deze patiënt was na 2 weken met klachten passend bij covid-19 toenemend kortademig geworden
De X-thorax laat bilateraal consolidatieve longafwijkingen zien, zoals frequent wordt gezien bij patiënten met covid-19.

Patiënt begon met chloroquine, cefuroxim intraveneus – wegens klinische verdenking op een secundaire bacteriële infectie – en tromboseprofylaxe met dalteparine 2500 IE subcutaan. Klinisch verslechterde de patiënt 3 dagen na opname met een snelle toename van de zuurstofbehoefte van 2 naar 6 l/min, bij een onveranderde thoraxfoto en een verhoogde D-dimeerwaarde (> 4,0 mg/l). Hierop lieten wij een CT-A verrichten. Deze liet bilateraal longemboli zien. Voor de duur van de chloroquinebehandeling kreeg patiënt therapeutisch dalteparine subcutaan; hierna gingen wij over op rivaroxaban. Vroeg in de pandemie was het namelijk nog onduidelijk welke risico’s de combinatie van chloroquine met rivaroxaban met zich meebracht. Na 10 dagen kon patiënt in goede conditie ontslagen worden.

Patiënt C, een 71-jarige man met een gedilateerde cardiomyopathie, polycythaemia vera en reumatoïde artritis, kwam op de SEH met dyspneu bij een reeds bewezen covid-19-infectie. Hij was ’s ochtends in goede conditie ontslagen uit een ziekenhuis elders, waar hij 6 dagen opgenomen was geweest. Gedurende de opname had patiënt tromboseprofylaxe gehad (dalteparine 2500 IE 1 dd sc). Op de dag van ontslag was hij plots benauwd en duizelig geworden, met opnieuw koorts.

Over de longen werden bilateraal crepitaties gehoord. Er waren klinisch geen tekenen van een trombosebeen. Er bleek sprake te zijn van hypotensie (90/60 mmHg), tachycardie, alsmede arteriële hypoxemie (Po2: 56 mmHg). Het lymfocytengetal was niet afwijkend (1,7 x 109), maar de LDH-waarde was verhoogd (833 U/l), evenals de uitslagen van CRP (35 mg/l), troponine-T (158 ng/l; referentiewaarde < 30) en NTpro-BNP (24.812 pg/ml; referentiewaarde < 125), Een X-thorax liet bilateraal consolidaties zien. Op het ecg zagen wij een sinustachycardie met draaiing van de elektrische hartas naar rechts en zeer forse P-toppen in afleidingen II, III, en AVF (figuur 2).

Figuur 2
Ecg van patiënt C, die herstellende was van covid-19 maar plotseling fors benauwd was geworden
Figuur 2 | Ecg van patiënt C, die herstellende was van covid-19 maar plotseling fors benauwd was geworden
Op dit ecg is een sinustachycardie te zien, met een rechter asdraai en zeer forse P-toppen in afleidingen II, III, en AVF. Patiënt C bleek later longembolieën te hebben.

Gezien dit klinische beeld, de D-dimeerwaarde van 3,3 mg/l en een sterke verdenking op longembolie werd op grond van het YEARS-algoritme (afkapwaarde voor D-dimeer: 0,5 mg/l) een CT-A verricht. Deze liet multipele segmentele en subsegmentele longembolieën zien, alsmede een stolsel in de apex van de rechterventrikel met een diameter van 3 cm (figuur 3).

Figuur 3
CT-angiografie van de thorax van patiënt C
Figuur 3 | CT-angiografie van de thorax van patiënt C
CT-angiografie met contrast van patiënt C (transversale coupe). (a) In de rechter ventrikel bevindt zich een stolsel. De rechter ventrikel is vergroot en er is sprake van septumdeviatie, passend bij overbelasting van de rechter ventrikel. (b) Bij deze patiënt was sprake van zowel segmentele als subsegmentele longembolieën.

Bij deze patiënt was een niet-reanimeren- en niet-IC-beleid afgesproken. Gezien de klinische toestand achtten wij verdere invasieve therapie voor het stolsel niet mogelijk. Patiënt werd behandeld met dalteparine in therapeutische dosering. Uiteindelijk overleed hij 2 weken na opname onder het beeld van een progressieve respiratoire insufficiëntie bij progressieve ARDS. Omdat de patiënt in deze laatste fase afhankelijk was van maximale zuurstoftherapie in hoge flow, kon hij niet veilig vervoerd worden. Verdere diagnostiek was dus niet mogelijk en daardoor kunnen wij niet uitsluiten dat een toename van het aantal longemboli een rol heeft gespeeld bij de progressie van de respiratoire insufficiëntie.

Beschouwing

In deze klinische les hebben wij het bijzondere ziektebeloop laten zien van 3 patiënten met covid-19. Bij alle 3 werd het ziektebeloop gecompliceerd door een VTE. In deze beschouwing gaan wij nader in op deze complicatie bij covid-19-patiënten.

Klassiek beloop covid-19 en presentatie op de SEH

Patiënten met covid-19 komen vaak met moeheid, dyspneu en een droge hoest als voornaamste klachten naar de SEH. Zij kunnen piekende koorts tot 40 °C hebben. Pijn op de borst of pijn bij de ademhaling komt minder frequent voor, bij ongeveer 16%.2 Op de 7e tot 10e ziektedag kan er acute verslechtering optreden. Dit is vaak het moment waarop patiënten ingestuurd worden. Kenmerkende laboratoriumafwijkingen zijn lymfopenie en een verhoogde LDH-waarde. De CRP-waarde kan variëren van < 30 tot > 200 mg/l. In de arteriële bloedgasanalyse kan sprake zijn van een respiratoire alkalose met hypoxemie. Op de X-thorax kan het beeld gezien worden van bilaterale, vaak perifere consolidaties, maar ook meer lobair gelokaliseerde consolidaties kunnen worden gezien.1,3

Toenemende dyspneu in het beloop van covid-19

Bij een groot aantal patiënten neemt gedurende de opname de dyspneu of de zuurstofbehoefte toe. Dit kan het gevolg zijn van een toename van de inflammatoire respons op de covid-19-infectie in de longen; deze reactie treedt meestal op rond de 10e ziektedag. Kenmerkend is dat deze verslechtering zich soms vrij snel kan voltrekken en dat er een discrepantie kan bestaan tussen de mate van de kortademigheid en de ernst van de desaturatie. In deze klinische les laten wij zien dat in het beloop van covid-19 ook VTE een belangrijke rol kan spelen.

Onze eerste covid-19-patiënt met een VTE zagen wij op 31 maart 2020. Sindsdien zijn wij hierop alerter geworden. In de periode 31 maart-20 april 2020 hebben wij 109 covid-19-patiënten opgenomen; bij 16 van hen vermoedden wij een VTE en uiteindelijk bleken 11 van deze 16 patiënten inderdaad een VTE te hebben. Ondanks ogenschijnlijk adequate tromboseprofylaxe is de incidentie van VTE bij covid-19-patiënten op een verpleegafdeling veel hoger dan bij patiënten met andere infectieuze aandoeningen op een reguliere verpleegafdeling; in ons ziekenhuis stelden wij de diagnose ‘VTE’ bij ruim 10% van de covid-19-patiënten op de reguliere verpleegafdeling. Andere recente studies lieten incidentiecijfers zien op de reguliere verpleegafdeling variërend van 3,3 tot 18%,4-6 terwijl op de IC zelfs incidenties tot 31% werden gerapporteerd.7

Uiteraard moeten ook andere differentiaaldiagnoses in overweging worden genomen wanneer een covid-19-patiënt tijdens de opname respiratoir verslechtert. Andere mogelijke verklaringen voor zo’n verslechtering zijn het ontstaan van een secundaire bacteriële pneumonie, decompensatio cordis door iatrogene overvulling bij een pre-existent gecompromitteerde linkerventrikelfunctie, of – zeldzamer –een door covid-19 geïnduceerde myocarditis en in een later stadium eventueel pulmonale schimmelinfecties.8

Vanwege de sterk overlappende symptomen bij deze aandoeningen kan de differentiaaldiagnostiek lastig zijn. Bij een verdenking op longembolie kan screening van patiënten met de YEARS-criteria voor aanvullende diagnostiek in onze ervaring zeker behulpzaam zijn bij de eerste presentatie van de patiënt, maar deze screening geeft ook een risico op overdiagnostiek. Bij covid-19-patiënten is de D-dimeerwaarde vaak al verhoogd bij presentatie – vaak zelfs sterk verhoogd – als uiting van de covid-19-infectie. In ons ziekenhuis had 64% van de covid-19-patiënten bij binnenkomst een D-dimeerwaarde van > 1 mg/l en bij 89% van de patiënten was de D-dimeerwaarde > 0,5 mg/l. Daarom speelt met name het klinisch beeld een belangrijke rol bij de beoordeling of al dan niet vervolgonderzoek aangevraagd moet worden.

Symptomen die kunnen wijzen op VTE zijn: onverklaarde toename van de kortademigheid, hemoptoë en/of zuurstofdesaturatie (zoals bij patiënt B), klinische tekenen van diep-veneuze trombose, hypotensie en tachycardie (zoals bij patiënt C) of tekenen van rechtsdecompensatie, toename van pijn bij de ademhaling, het uitblijven van klinische verbetering (zoals bij patiënt B) en een discrepantie tussen de radiologische bevindingen en het klinisch beeld (zoals bij patiënt A). In al deze gevallen gaan wij nu laagdrempelig over tot CT-A als vervolgonderzoek naar longembolie.9

Pathofysiologie en preventie van coagulopathie bij covid-19

Bij covid-19 wordt steeds meer duidelijk over het mogelijke mechanisme dat pulmonale trombose induceert. Behalve klassieke risicofactoren voor trombose als immobiliteit, hypoxemie en obesitas, geeft covid-19 een sterke stollingsneiging met een diffuse-intravasale-stolling(DIS)-achtig beeld, vaak echter zonder trombopenie. Daarnaast is er een hevige inflammatoire reactie met lokale destructie van endotheel door de virusinfectie. Monocyten en vrijgekomen cytokines veroorzaken interstitiële ontsteking, endotheelbeschadiging en activering van bloedstolling met de productie van trombine, fibrine en vervolgens alveolaire en capillaire trombose. De coagulopathie waar covid-19 mee gepaard kan gaan lijkt een combinatie te zijn van laaggradige DIS met een gelokaliseerde pulmonale trombotische microangiopathie, die een aanzienlijk effect kan hebben op de orgaanfunctie bij de ernstigst getroffen patiënten.10 Dit kan niet alleen de verhoogde incidentie van VTE bij covid-19-patiënten verklaren, maar ook de verhoogde incidentie van arteriële embolie, die wij inmiddels bij 3 patiënten hebben gezien.

Omdat bij alle covid-19-patiënten met VTE in ons ziekenhuis de trombo-embolie ontstond onder profylaxe met dalteparine 2500 IE 1 dd (de gebruikelijke dosering voor patiënten tot 80 kg), hebben wij vroeg in de covid-19-uitbraak besloten de profylactische dosering te verhogen naar 5000 IE 1 dd voor alle patiënten. Hierbij hebben we dus bewust gekozen voor een hoge profylactische dosering, waar de ‘Leidraad covid-19 coagulopathie’ van de Federatie Medisch Specialisten de optie voor een lage of hoge dosering openhoudt.9

Gezien dit onderliggende mechanisme rijst de vraag of mensen zoals patiënt C baat kunnen hebben van VTE-profylaxe na ontslag. Onduidelijk is of een verhoging van de dosis tromboseprofylaxe en een verlengde profylaxeduur het optreden van VTE vermindert, zonder een hoger risico op bloedingen. Toekomstig onderzoek moet op deze vragen antwoord geven.

Dames en Heren, toegenomen kortademigheid in het klinisch beloop van patiënten die zijn opgenomen met covid-19 is een uitdagend probleem. Er moet voor gewaakt worden dit al te gemakkelijk te wijten aan een progressie van de covid-19. Wij willen ervoor pleiten de differentiaaldiagnose van kortademigheid zoals gebruikelijk te blijven doorlopen, waarbij met name gedacht moet worden aan veneuze trombo-embolie, naast de bekende secundaire infecties en cardiale oorzaken, die we bij deze patiënten ook vaker zien dan we gewend zijn bij andere ziektebeelden.

Literatuur
  1. Zhou F, Yu T, Du R, et al. Clinical course and risk factors for mortality of adult inpatients with COVID-19 in Wuhan, China: a retrospective cohort study. Lancet. 2020;395:1054-62. doi:10.1016/S0140-6736(20)30566-3. Medline

  2. Han R, Huang L, Jiang H, Dong J, Peng H, Zhang D. Early Clinical and CT Manifestations of Coronavirus Disease 2019 (COVID-19) Pneumonia. AJR Am J Roentgenol. 17 maart 2020 (epub). doi:10.2214/AJR.20.22961. Medline

  3. Buenen AG, Wever PC, Borst DP, Slieker KA. COVID-19 op de Spoedeisende Hulp in Bernhoven. Ned Tijdschr Geneeskd. 2020;164:D5001 Medline.

  4. Middeldorp S, Coppens M, van Haaps TF, et al. Incidence of venous thromboembolism in hospitalized patients with COVID-19. J Thromb Haemost. 5 mei 2020 (epub). doi:10.1111/jth.14888. Medline

  5. Lodigiani C, Iapichino G, Carenzo L, Cecconi M, Ferrazzi P, et al. Venous and arterial thromboembolic complications in COVID-19 patients admitted to an academic hospital in Milan, Italy. Thromb Res. 2020;191:9-14. doi:10.1016/j.thromres.2020.04.024Medline

  6. Bompard F, Monnier H, Saab I, et al. Pulmonary embolism in patients with Covid-19 pneumonia. Eur Respir J. 2020;2001365. doi:10.1183/13993003.01365-2020. Medline

  7. Klok FA, Kruip MJHA, van der Meer NJM, et al. Incidence of thrombotic complications in critically ill ICU patients with COVID-19. Thromb Res. 2020;191:145-7. doi:10.1016/j.thromres.2020.04.013. Medline

  8. Yang X, Yu Y, Xu J, et al. Clinical course and outcomes of critically ill patients with SARS-CoV-2 pneumonia in Wuhan, China: a single-centered, retrospective, observational study. Lancet Respir Med. 2020;8:475-81. doi:10.1016/S2213-2600(20)30079-5. Medline

  9. Leidraad COVID-19 coagulopathie, versie 6. Utrecht: Federatie Medisch Specialisten; 16 april 2020.

  10. Levi M, Thachil J, Iba T, Levy JH. Coagulation abnormalities and thrombisis in patients with COVID-19. Lancet Haematol 2020;7: e438-40. Medline

Auteursinformatie

Catharina Ziekenhuis, afd. Longgeneeskunde, Eindhoven: drs. D.D. Deenstra, aios longgeneeskunde; drs. A.F. Aldenkamp en dr. R.H.H. van Balkom, longartsen; prof.dr. F.W.J.M. Smeenk, longarts (tevens: fac. Healty, Medicine and Life Sciences, Universiteit Maastricht); afd. Hematologie: dr. M.R. Nijziel, internist-hematoloog.

Contact D. Deenstra (ducodeenstra@hotmail.com)

Belangenverstrengeling

Belangenconflict en financiële ondersteuning: er zijn mogelijke belangen gemeld bij dit artikel. ICMJE-formulieren met de belangenverklaring van de auteurs zijn online beschikbaar bij dit artikel.

Auteur Belangenverstrengeling
Duco D. Deenstra ICMJE-formulier
Marten R. Nijziel ICMJE-formulier
Arnoud F. Aldenkamp ICMJE-formulier
Roland H.H. van Balkom ICMJE-formulier
Frank W.J.M. Smeenk ICMJE-formulier
Dit artikel is gepubliceerd in het dossier
Covid-19
Heb je nog vragen na het lezen van dit artikel?
Check onze AI-tool en verbaas je over de antwoorden.
ASK NTVG

Ook interessant

Reacties