Do’s-and-don’ts bij COVID-19-coagulopathie

Perspectief
Abstract
Frederikus A. Klok
Paul L. den Exter
Menno V. Huisman
Jeroen Eikenboom
Download PDF

Samenvatting

COVID-19 gaat gepaard met een hoge prevalentie van activatie van de stollingscascade. Er is gesuggereerd dat deze zogenoemde COVID-19-coagulopathie een voorspeller is van een ongunstige afloop en van mortaliteit. Consensusdocumenten over de behandeling van patiënten met COVID-19-coagulopathie zijn gebaseerd op de beperkte literatuur – van overwegend retrospectieve studies – die nu voorhanden is, en de aanbevelingen zijn daardoor niet altijd met elkaar in overeenstemming. In dit artikel bespreken wij de eerste studies naar COVID-19-coagulopathie en geven wij de belangrijkste do’s-and-don’ts als het gaat om het diagnostiek en behandeling van coagulopathie en de preventie van complicaties bij patiënten met COVID-19 of een sterke verdenking daarop.

artikel

Infecties met het nieuwe SARS-Cov2-virus gaan vaak gepaard met een beeld dat lijkt op diffuse intravasale stolling (DIS). DIS betreft systemische activatie van stolling met uitgebreide fibrinedeposities in kleine bloedvaten (zie uitleg Diffuse intravasale stolling). Het ziektebeloop wordt gekenmerkt door veneuze of arteriële trombose – dit komt voor bij 10-40% van de patiënten – en multiorgaanfalen.1,2 DIS is altijd secundair aan een andere aandoening, zoals een infectie, trauma of een – vaak hematologische – maligniteit. Naast trombose kunnen ook bloedingen kenmerkend zijn voor het beloop van DIS, een gevolg van de consumptie van trombocyten en stollingsfactoren – dit komt voor bij 5-12% van de patiënten.1,2 De behandeling van DIS richt zich naast tromboseprofylaxe op de behandeling van het onderliggende ziektebeeld. Er is geen ruimte voor substitutie van stollingsfactoren, tenzij er sprake is van manifeste, ernstige bloeding of een vitale indicatie voor een interventie met een hoog bloedingsrisico.1,2

COVID-19 infecties lijken vaak gepaard te gaan met stollingsactivatie, wat op zich voorspellend is voor een ernstiger ziektebeloop.3-6 Er zijn 2 publicaties van internationale stollingsexperts die bespreken hoe het best omgegaan kan worden met COVID-19-coagulopathie.7,8 De aanbevelingen in deze artikelen komen voor een deel overeen, maar zijn ook gedeeltelijk tegenstrijdig. In dit perspectief geven we een overzicht van wat er bekend is over COVID-19-coagulopathie en bespreken we de belangrijkste do’s-and-don’ts voor de dagelijkse praktijk.

COVID-19-coagulopathie

Uit cohortstudies in China zijn aanwijzingen gekomen voor activatie van het stollingssysteem bij een groot deel van de patiënten die werden opgenomen vanwege COVID-19. Zo bleek de D-dimeerconcentratie bij 46-68% van de patiënten verhoogd te zijn en had 19% van een serie van 191 COVID-19-patiënten een coagulopathie, gedefinieerd als een met >3 seconden verlengde protrombinetijd (PT) of een met > 5 seconden verlengde geactiveerde partiële tromboplastinetijd (APTT).3,5

Deze stollingsactivatie en coagulopathie lijkt sterk verband te houden met een ongunstige prognose. Uit Chinese studies komt naar voren dat de stollingsactivatie veel meer uitgesproken was bij patiënten die uiteindelijk overleden aan COVID-19 dan bij patiënten die levend het ziekenhuis verlieten. Zo was de D-dimeerwaarde bij opname duidelijk hoger bij patiënten die overleden, en steeg deze tijdens de opname verder door, terwijl de D-dimeerwaardes bij overlevers min of meer stabiel bleven.5,6 Een D-dimeerwaarde boven de 1000 ng/ml (aanwezig bij 42% van de patiënten) bleek gepaard te gaan met een meer dan 18-voudig verhoogd risico op overlijden dan een waarde onder de 500 ng/ml (aanwezig bij 32% van de patiënten).6 Een D-dimeerwaarde tussen de 500 en 1000 ng/ml bleek niet voorspellend voor overlijden.

Coagulopathie zoals hier beschreven kwam voor bij 50% van de patiënten die overleden, terwijl slechts 7% van de overlevers coagulopathie had.6 Een laatste cohortstudie van 183 COVID-19-patiënten beschrijft de formele diagnose ‘DIS’ bij 71% van de patiënten die overleden, tegenover 0,4% van de overlevers.3

De hoge prevalentie van stollingsafwijkingen bij opgenomen COVID-19-patiënten vormen op verschillende manieren een uitdaging voor het behandelteam: wanneer en hoe vaak moeten stollingsparameters gemeten worden? Hoe moeten stollingsparameters worden geïnterpreteerd bij een vermoeden van longembolie en hoe kunnen complicaties van stollingsactivatie en DIS voorkomen worden?

Klinische relevantie van COVID-19-coagulopathie

Opvallend genoeg wordt er in de publicaties van COVID-19-patiëntenseries nauwelijks of geen melding gemaakt van diep-veneuze trombose of longembolie, ook niet in een zeer recent verschenen beschrijving van 113 overleden patiënten uit China.3-6,9 Wij vonden in een onderzoek bij COVID-19-patiënten op een IC-afdeling wel een heel hoge cumulatieve incidentie van symptomatische veneuze en arteriële trombotische complicaties van 31% (95%-BI: 17-37%),10 ondanks dat alle patiënten de gebruikelijke tromboseprofylaxe kregen. Van al deze complicaties was 81% een longembolie. Het gaat dan ook om een zeer zieke groep patiënten met verschillende risicofactoren voor trombose: immobiliteit, hypoxie en systemische inflammatie. Hoewel de beschreven incidentie van manifeste DIS niet opvallend hoog is, draagt de uitgebreide stollingsactivatie ook bij aan het optreden van veneuze trombo-embolie, zoals uit ons onderzoek bleek.10 De gecorrigeerde hazardratio voor het optreden van trombotische complicaties bij aanwezigheid van coagulopathie was 4,1 (95%BI: 1,9-9,1).

Wanneer en hoe vaak moeten stollingsparameters gemeten worden?

Vanwege het sterke verband met een slechte prognose is het zinnig om na opname van een patiënt met COVID-19 of een sterke verdenking daarop een volledig laboratoriumonderzoek naar DIS te doen: APTT, PT, trombocyten, D-dimeer en fibrinogeen. In het LUMC hebben we ervoor gekozen dit niet al op de Spoedeisende Hulp maar pas op de afdeling te doen, om te voorkómen dat een verhoogde D-dimeerwaarde ten onrechte een verdenking op een eventuele longembolie in gang zet zonder dat er om te beginnen een reële klinische verdenking is.

Het dagelijks meten van alle DIS-parameters is niet zinnig; veranderingen daarin voorspellen wellicht het beloop, maar zijn niet te koppelen aan absolute risicomaten. Het is vooralsnog onduidelijk of de stollingsafwijkingen alleen een uiting zijn van de mate van ziekteactiviteit of ook een causale pathofysiologische rol spelen in het ziektebeloop. Alleen wanneer er een duidelijke beleidswijziging van afhangt – bijvoorbeeld het staken van behandeling, of bij twijfel over de indicatie voor opname op de IC – of als er nieuwe diagnostische overwegingen zijn, zoals progressieve trombopenie, is er een indicatie om het DIS-stollingsonderzoek volledig te herhalen.

Hoe te handelen bij een vermoeden van longembolie?

Patiënten met een COVID-19-infectie presenteren zich in de regel met respiratoire klachten en hoesten, maar ook thoracale pijn en hemoptoë komen voor.2 De presentatie overlapt daarmee voor een groot deel met die van een acute longembolie.11 Zolang er geen studies zijn die duidelijk maken wat de typische presentatie is van longembolie bij patiënten met COVID-19, is het gezond verstand leidend.

Het is niet zinvol om diagnostiek in te zetten die gericht is op longembolie bij alle patiënten met een verdenking op COVID-19; dat resulteert in overdiagnostiek met onnodige blootstelling aan röntgencontrastmiddel en onnodige kosten. Wij adviseren om de diagnose ‘longembolie’ vooral te overwegen in situaties van acute, onbegrepen, respiratoire verslechtering, nieuwe of onbegrepen tachycardie, ecg-afwijkingen die passen bij overbelasting van de rechter ventrikel, klinische tekenen van diep-veneuze trombose van de extremiteiten en hypotensie.

De diagnostiek bij een vermoeden van longembolie kan verlopen via de gevalideerde standaardalgoritmes die beginnen met het vaststellen van de voorafkans op longembolie en de D-dimeerwaarde. Er is geen reden aan te nemen dat de sensitiviteit van de D-dimeertest afneemt bij COVID-19-patiënten. Wel zal de specificiteit van de D-dimeertest voor longembolie lager zijn bij patiënten met een coagulopathie en een infectie. Een aanzienlijk deel (32-53%) van de patiënten in de Chinese cohortstudies had echter een niet-afwijkende D-dimeerwaarde en de overgrote meerderheid had een waarde onder de 1000 ng/ml.2,6,7 Daarmee kan aangenomen worden dat de diagnose ‘longembolie’ nog steeds bij een relevant deel van de patiënten kan worden uitgesloten zonder CT-pulmonaire angiografie (CTPA) te hoeven verrichten (figuur), vooral als het YEARS-algoritme gevolgd wordt.12 Tevens kan echografie worden verricht, desnoods aan het bed, bij tekenen van een diep-veneuze trombose. Een positieve uitslag bij de echografie is voldoende om af te zien van CTPA. De CT-scans met lage stralingsdosis die bij de meeste opgenomen COVID-19-patiënten worden gemaakt, zijn niet geschikt om longembolie aan te tonen of uit te sluiten.

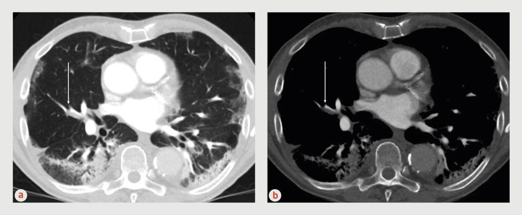
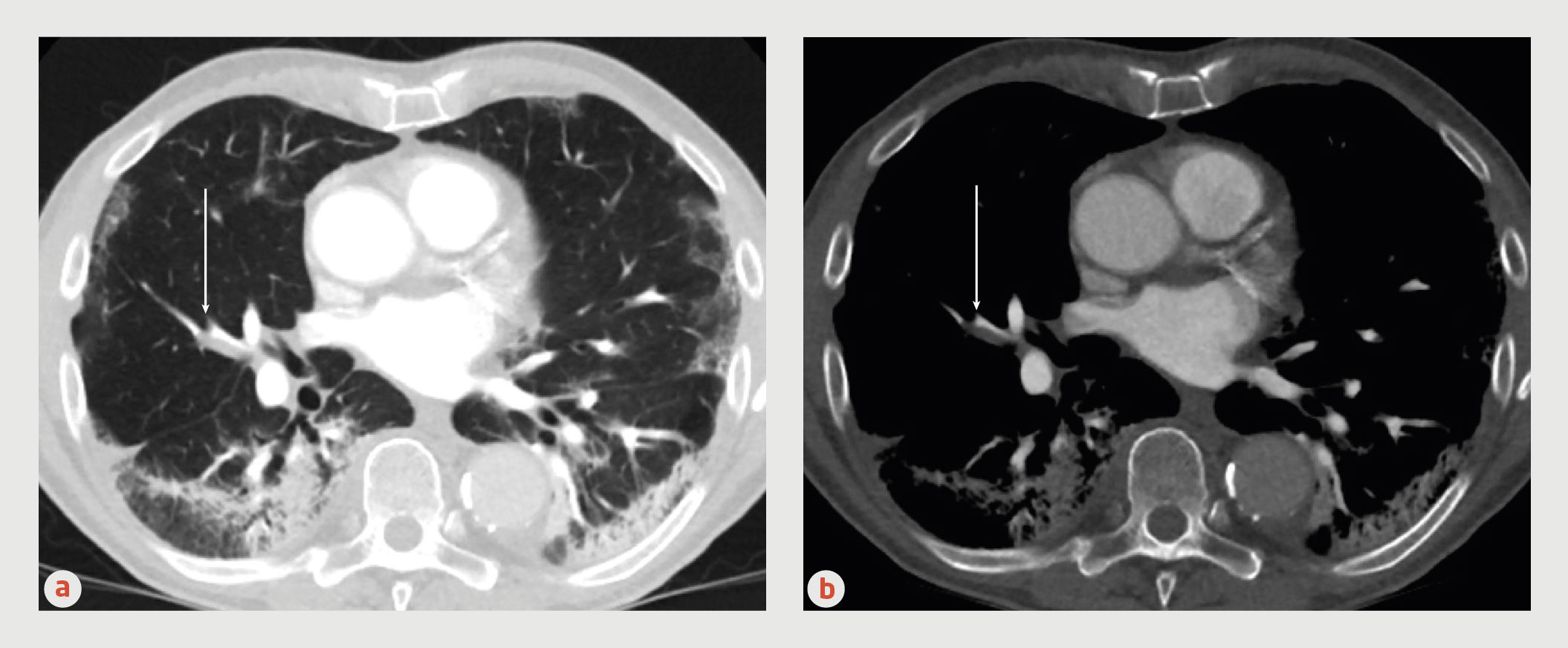
Figuur
Longembolie op CT-scan
Figuur | Longembolie op CT-scan
CT-pulmonaire angiografie (CTPA) van een 76-jarige patiënt met COVID-19, (a) longsetting en (b) CTPA-setting. Bij deze patiënt nam de hypoxemie plotseling toe. Omdat er geen andere aannemelijke verklaring was, werd aan een longembolie gedacht. Er was 1 YEARS-item aanwezig (longembolie meest waarschijnlijke diagnose) en de D-dimeerwaarde was > 5000 ng/ml. Er werd een CTPA verricht, waarop een onderbreking van een longslagader werd gezien (witte pijl), bewijzend voor acute longembolie. Ook was een karakteristiek beeld van COVID-19 zichtbaar: multifocale, deels confluerende, relatief scherp begrensde matglasafwijkingen met superponerende gebieden van consolidatie, en fibrotische veranderingen met tractie aan fissuren in de ondervelden.

Als longembolie wordt vastgesteld is er een indicatie voor therapeutische antistolling. Eerder werd in dit tijdschrift beargumenteerd dat het te verdedigen valt COVID-19-patiënten voor de duur van de chloroquinebehandeling niet met een DOAC te behandelen, omdat chloroquine een remmend effect heeft op P-glycoproteïne (PGP).13 Het is echter niet duidelijk hoe relevant het effect van chloroquine op DOAC-spiegels is en hoe lang de PGP-inhibitie aanwezig blijft; chloroquine heeft immers een lange halfwaardetijd. Daarom pleiten wij, mede met het oog op het gebruiksgemak van de DOAC’s, voor laagdrempelig gebruik van een DOAC bij ambulante en klinisch stabiele COVID-19-patiënten met longembolie die chloroquine gebruiken of gebruikt hebben. Aan de behandeling met DOAC’s kan eventueel een laag-molecuulgewichtheparine (LMWH) voorafgaan, zoals nu al standaard het geval is bij dabigatran en edoxaban.

Bij patiënten die andere medicatie gebruiken met sterke interactie met DOAC’s, bij patiënten die een ernstige nierinsufficiëntie ontwikkelen en bij patiënten bij wie orale behandeling geen optie is, is een LMWH of ongefractioneerde heparine de antistollingsbehandeling van eerste keus. Als er sprake is van een verbruikscoagulopathie kan overwogen worden de dosering ongefractioneerde heparine niet te baseren op de APTT maar op anti-Xa-spiegels (streefwaarde: 0,3-0,7 IE/ml anti-Xa).

Complicaties van COVID-19-coagulopathie voorkómen

Vanwege het verhoogde risico op veneuze trombo-embolie adviseren internationale consensusdocumenten medicamenteuze tromboseprofylaxe bij alle opgenomen COVID-19-patiënten.4,5 Dit advies onderschrijven wij, ook bij patiënten die door jonge leeftijd en het ontbreken van comorbiditeit een lage voorafkans op trombose hebben bij kwantificering van het risico met bijvoorbeeld de PADUA-score.14 In bijzondere omstandigheden worden patiënten met een zeer hoog tromboserisico in de praktijk soms behandeld met een ‘hoog-profylactische’ (lees: dubbele) dosering LMWH. Een dergelijke hoog-profylactische dosering LMWH is, gezien de hoge incidentie van trombotische complicaties, te overwegen bij COVID-19-patiënten die opgenomen zijn op de Intensive Care of wanneer er sprake is van een uitgesproken coagulopathie.

Therapeutische antistolling had bij de behandeling van patiënten met een ernstige DIS geen aangetoonde meerwaarde boven profylactische doseringen volgens onderzoek uit het tijdperk vóór COVID-19, en heeft daarom waarschijnlijk ook geen plaats in de behandeling van patiënten met COVID-19-geassocieerde DIS.2

Bij patiënten met DIS zijn bloedingen in het algemeen zeldzamer dan trombotische complicaties. Bloedingen treden daarnaast met name op bij patiënten met een diepe trombopenie (< 50 x 109/l) en rond invasieve procedures.1 Bij COVID-19-patiënten lijkt de ernst van de trombopenie mee te vallen; slechts 7% van de patiënten heeft een trombocytengetal < 100 x 109/l. Ook bloedingscomplicaties zijn niet of nauwelijks beschreven bij COVID-19-patiënten. Daarom is grote terughoudendheid met substitutie van stollingsfactoren bij deze patiënten gepast.

Do’s-and-don’ts bij COVID-19-coagulopathie

Wij hanteren de volgende do’s-and-don’ts als het gaat om het diagnosticeren en behandelen of voorkómen van de complicaties van coagulopathie bij patiënten met COVID-19 of een sterke verdenking daarop.

  • Overweeg een volledig laboratoriumonderzoek naar diffuse intravasale stolling (DIS) na opname voor prognostische doeleinden.
  • Bepaal niet dagelijks de D-dimeerwaardes. Herhaal het volledige DIS-onderzoek op indicatie als de uitslagen consequenties hebben voor de behandeling.
  • Maak gebruik van een gevalideerd diagnostisch algoritme in geval van een klinische verdenking op longembolie.
  • Begin met standaard medicamenteuze tromboseprofylaxe bij iedere patiënt die wordt opgenomen wegens COVID-19 of een verdenking daarop en overweeg verlengde tromboseprofylaxe als de patiënt bij ontslag nog immobiel is of intensieve nazorg behoeft (tot 6 weken na ontslag); een hoog-profylactische dosis is verdedigbaar bij patiënten met een coagulopathie en patiënten die opgenomen zijn op de IC-afdeling.
  • Geef ook bij ernstige DIS en sterk verlengde stollingstijden geen substitutie van stollingsfactoren, tenzij er sprake is van een manifeste bloeding of een vitale indicatie voor een interventie met een hoog bloedingsrisico.
Literatuur
  1. Levi M, Scully M. How I treat disseminated intravascular coagulation. Blood. 2018;131:845-54. Medline

  2. Wada H, et al. Guidance for diagnosis and treatment of DIC from harmonization of the recommendations from three guidelines. J Thromb Haemost. 4 februari 2013 (epub). Medline

  3. Guan WJ, Ni ZY, Hu Y, et al. Clinical characteristics of Coronavirus disease 2019 in China. N Engl J Med. 28 februari 2020 (epub). Medline

  4. Tang N, Li D, Wang X, Sun Z. Abnormal coagulation parameters are associated with poor prognosis in patients with novel coronavirus pneumonia. J Thromb Haemost. 2020;18:844-7. Medline

  5. Zhou F, Yu T, Du R, et al. Clinical course and risk factors for mortality of adult inpatients with COVID-19 in Wuhan, China: a retrospective cohort study. Lancet. 2020;395:1054-62. doi:10.1016/S0140-6736(20)30566-3. Medline

  6. Wang D, et al. Clinical characteristics of 138 hospitalized patients with 2019 novel coronavirus-infected pneumonia in Wuhan, China. JAMA. 7 februari 2020 (epub). Medline

  7. Hunt B, Retter A, McClintock C. Practical guidance for the prevention of thrombosis and management of coagulopathy and disseminated intravascular coagulation of patients infected with COVID-19. www.thrombosisuk.org, geraadpleegd op 9 april 2020.

  8. Thachil J, et al. ISTH interim guidance on recognition and management of coagulopathy in COVID-19. J Thromb Haemost. 25 maart 2020 (epub). doi:10.1111/jth.14810.

  9. Chen T, et al. Clinical characteristics of 113 deceased patients with coronavirus disease 2019: retrospective study. BMJ. 2020;368:m1091. Medline

  10. Klok FA, et al. Incidence of thrombotic complications in critically ill ICU patients with COVID-19. Thromb Res. 2020 (ter perse). doi:10.1016/j.thromres.2020.04.013

  11. Huisman MV, et al. Pulmonary embolism. Nat Rev Dis Primers. 2018;4:18028. Medline

  12. Van der Hulle T, et al. Simplified diagnostic management of suspected pulmonary embolism (the YEARS study): a prospective, multicentre, cohort study. Lancet. 2017;390:289-97. Medline

  13. Lenkens M, de Wit H, Danser AH, et al. Geneesmiddelen bij COVID-19. Ned Tijdschr Geneeskd. 2020;164:D4995.

  14. Barbar S, et al. A risk assessment model for the identification of hospitalized medical patients at risk for venous thromboembolism: the Padua Prediction Score. J Thromb Haemost. 2010;8:2450-7. Medline

Auteursinformatie

Leids Universitair Medisch Centrum, afd. Trombose en Hemostase, Leiden: dr. F.A. Klok, prof.dr. M.V. Huisman en prof.dr. J. Eikenboom, internisten vasculaire geneeskunde; dr. P.L. den Exter, aios interne geneeskunde.

Contact F.A. Klok (f.a.klok@LUMC.nl)

Belangenverstrengeling

Belangenconflict en financiële ondersteuning: er zijn mogelijke belangen gemeld bij dit artikel. ICMJE-formulieren met de belangenverklaring van de auteurs zijn online beschikbaar bij dit artikel.

Auteur Belangenverstrengeling
Frederikus A. Klok ICMJE-formulier
Paul L. den Exter ICMJE-formulier
Menno V. Huisman ICMJE-formulier
Jeroen Eikenboom ICMJE-formulier
Uitlegkader
Dit artikel is gepubliceerd in het dossier
Covid-19
Heb je nog vragen na het lezen van dit artikel?
Check onze AI-tool en verbaas je over de antwoorden.
ASK NTVG

Ook interessant

Reacties