Silicose

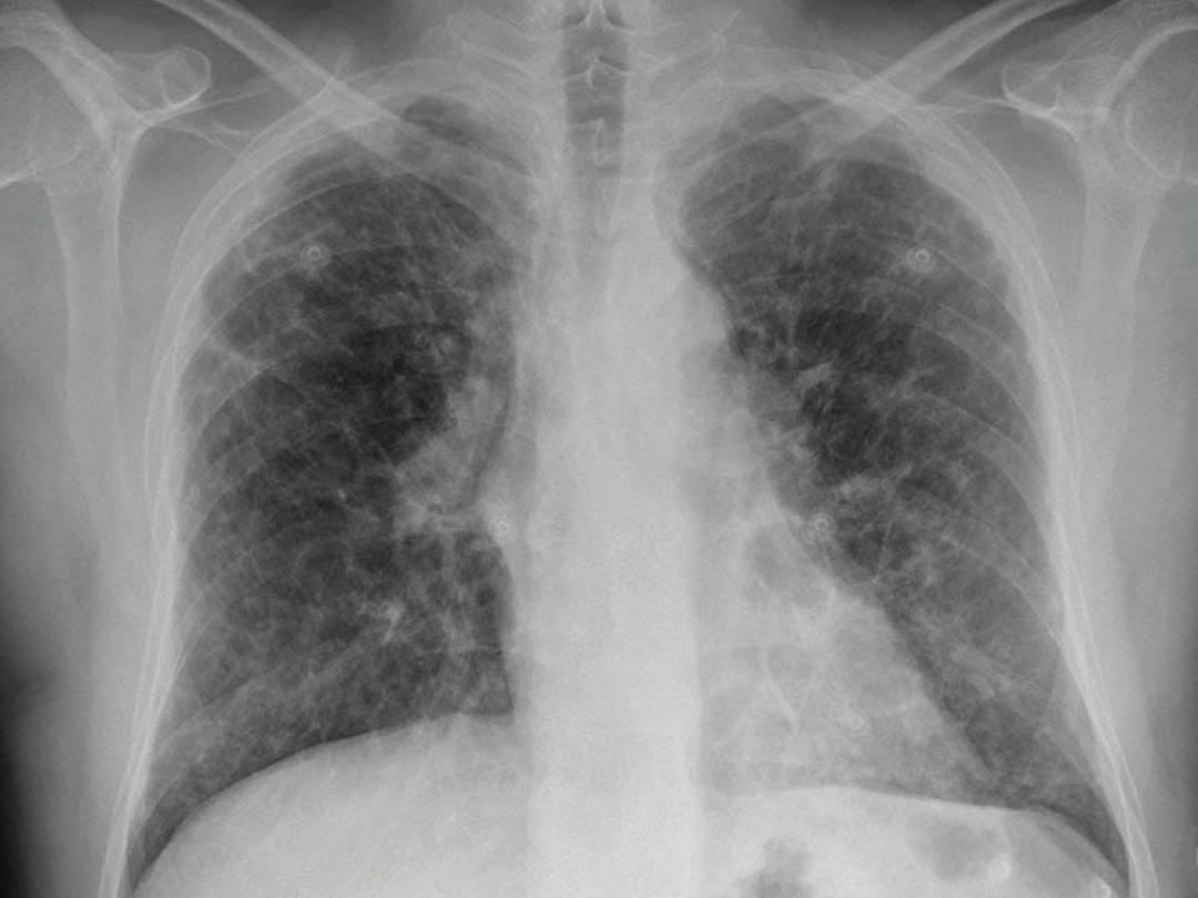
Thoraxfoto
Abstract
Paul K. Schoonbeek
Arnoud J.G. Knoops
Gerda J. de Groene
C.A. (Niels) van der Sloot

Beroepsmatige blootstelling aan fijne stofdeeltjes is een belangrijke risicofactor voor de ontwikkeling van verworven interstitiële longaandoeningen. Afhankelijk van het type ingeademde stof zijn er verschillende vormen van ‘stoflong’ (pneumoconiose) te onderscheiden. In deze casus beschrijven we een patiënt met pneumoconiose door inhalatie van silicadeeltjes (kwartsstof).

Ziektegeschiedenis

Patiënt, een 57-jarige man, was door de huisarts verwezen naar de longarts omdat hij sinds 4-5 maanden klachten had van progressieve dyspnée d’effort en droge hoest. De patiënt had een voorgeschiedenis van nicotineabusus (20 pakjaren). Uit de beroepsanamnese bleek dat hij tot tien jaar geleden bijna vijf jaar lang als betonstraler had gewerkt. Betonstralen is een reinigingsmethode waarbij een straalmachine kogeltjes afvuurt op beton, waardoor de oppervlaktestructuur verandert maar ook stofdeeltjes vrijkomen. Beschermingsmaatregelen waren niet consequent toegepast.

Bij lichamelijk onderzoek had de patiënt een niet-afwijkende zuurstofsaturatie. Bij longauscultatie hoorden wij beiderzijds fijne inspiratoire crepitaties. Het longfunctieonderzoek bevestigde dat de patiënt COPD had (Gold-stadium II)…

Auteursinformatie

Jeroen Bosch Ziekenhuis, Den Bosch, afd. Longgeneeskunde: drs. P.K. Schoonbeek, arts-assistent; drs. C.A. van der Sloot, longarts; afd. Radiologie: dr. A.J.G. Knoops, radioloog. Amsterdam UMC, divisie Public and Occupational Health, Nederlands Centrum voor Beroepsziekten, Amsterdam: drs. G.J. de Groene, bedrijfsarts.

Contact P.K. Schoonbeek (p.schoonbeek@jbz.nl)

Belangenverstrengeling

Belangenconflict en financiële ondersteuning: geen gemeld.

Auteur Belangenverstrengeling
Paul K. Schoonbeek ICMJE-formulier
Arnoud J.G. Knoops ICMJE-formulier
Gerda J. de Groene ICMJE-formulier
C.A. (Niels) van der Sloot ICMJE-formulier
Dit artikel is gepubliceerd in het dossier
Huisartsgeneeskunde
Public Health
Astma en COPD
Heb je nog vragen na het lezen van dit artikel?
Check onze AI-tool en verbaas je over de antwoorden.
ASK NTVG

Ook interessant

Reacties