De cyste van Nuck, een vergeten diagnose

Een vrouw met een pijnlijke zwelling in de lies

Klinische praktijk
Abstract
Riquard L. Hensgens
Jan-Kees Breek

Samenvatting

Achtergrond

De cyste van Nuck is een zwelling in het lieskanaal die berust op een hydrocele van het ligamentum teres uteri. Deze afwijking is een gevolg van het niet of gedeeltelijk oblitereren van de processus vaginalis tijdens de foetale ontwikkeling.

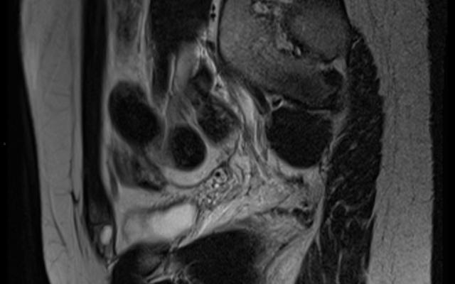
Casus

Een 44-jarige vrouw had al 4 jaar last van een pijnlijke zwelling in de rechter lies. Uitgebreid beeldvormend onderzoek en meerdere puncties van de veronderstelde cyste hadden geen blijvend resultaat. Uiteindelijk werd de zwelling herkend als een cyste van Nuck, wat bevestigd werd bij operatieve exploratie. Na de operatie was patiënte verlost van haar klachten.

Conclusie

De cyste van Nuck is een klinische diagnose. Beeldvormend onderzoek van de zwelling kan een misleidende uitslag geven en daarmee het instellen van de behandeling vertragen.

Auteursinformatie

Martini Ziekenhuis, afd. Chirurgie, Groningen.

R.L. Hensgens, MSc, anios chirurgie; dr. J.C. Breek, chirurg.

Contact R.L. Hensgens MSc (riquardh@hotmail.com)

Belangenverstrengeling

Belangenconflict en financiële ondersteuning: geen gemeld.

Auteur Belangenverstrengeling
Riquard L. Hensgens ICMJE-formulier
Jan-Kees Breek ICMJE-formulier
Heb je nog vragen na het lezen van dit artikel?
Check onze AI-tool en verbaas je over de antwoorden.
ASK NTVG

Ook interessant

Reacties

Cees N M
renckens

In mijn afscheidsboek van de praktijk Manuscript naast een verlostang gevonden (2011; ISBN 978-94-90826-10-9) beschreef ik een vergelijkbare casus, waarbij het net als in dit artikel vrij lang duurde voordat de juiste diagnose en behandeling werd gevonden. Ik deel de mening van de auteurs dat fysische diagnostiek volstaat om de diagnose te stellen. In de huidige leerboeken en in Pubmed komt men deze aandoening vrijwel niet meer tegen, maar Treub beschreef hem in 1892 al keurig in zijn Leerboek der Gynaecologie (p. 508-9); de hydrocele feminae noemde hij dat. Hij onderscheidde twee types: de hydrocele communicans (onze casus) en de hydrocele cystica: de nu beschreven casus van Hensgens c.s.


Cees Renkens, vrouwenarts n.p.