Een vrouw met een lytische botafwijking

Vrouw die valt
Abstract
Hannah van Buggenum
Charlotte van Noord
Yorick Sandberg

Casus

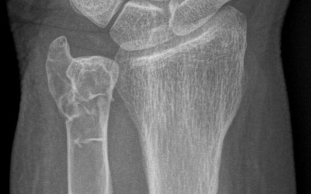
Een 63-jarige gezonde vrouw liep een polsfactuur op bij een struikelpartij. De fractuur bleek door een lytische botafwijking te lopen (figuur a). Vanwege het vermoeden van een maligniteit – zonder aanwijzingen hiervoor bij anamnese en lichamelijk onderzoek – werd een CT-scan van hals, thorax, abdomen en skelet uitgevoerd. Behalve de opzichzelfstaande lytische afwijking in de distale ulna links werden geen afwijkingen gezien. Het laboratoriumonderzoek was niet afwijkend, behalve een verhoogde gecorrigeerde calciumconcentratie en een verhoogde parathormoonspiegel, wat duidt op een primaire hyperparathyreoïdie. Een choline-PET-CT toonde een bijschildklieradenoom rechts caudaal. Het adenoom werd operatief verwijderd. Histopathologisch onderzoek liet geen aanwijzingen…

Auteursinformatie

Maasstad Ziekenhuis, afd. Interne Geneeskunde, Rotterdam: drs. H. van Buggenum, aios interne geneeskunde; dr. C. van Noord, internist-endocrinoloog; dr. Y. Sandberg, internist-oncoloog en -hematoloog.

Contact H. van Buggenum (h.vanbuggenum@erasmusmc.nl)

Belangenverstrengeling

Belangenconflict en financiële ondersteuning: ICMJE-formulieren met de belangenverklaring van de auteurs zijn online beschikbaar bij dit artikel.

Auteur Belangenverstrengeling
Hannah van Buggenum ICMJE-formulier
Charlotte van Noord ICMJE-formulier
Yorick Sandberg ICMJE-formulier
Dit artikel is gepubliceerd in het dossier
Oncologie
Heb je nog vragen na het lezen van dit artikel?
Check onze AI-tool en verbaas je over de antwoorden.
ASK NTVG

Ook interessant

Reacties