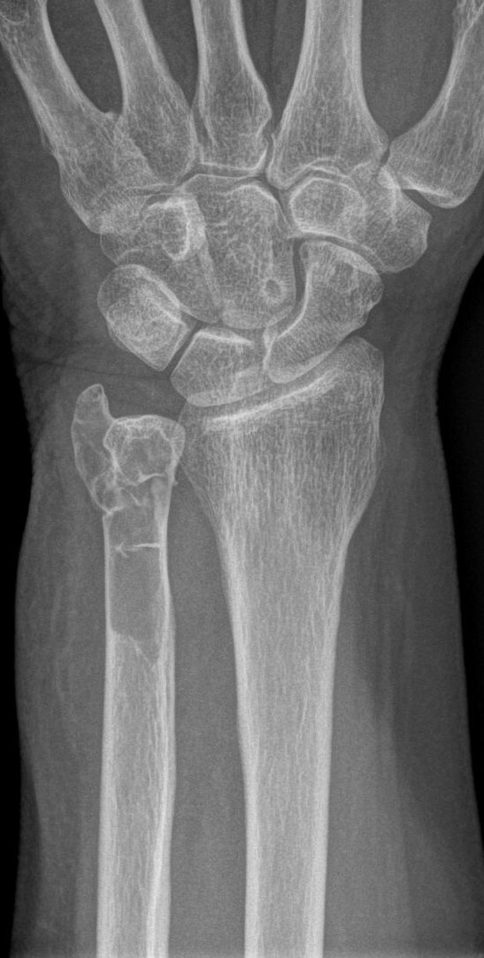
Een lytische botafwijking

Gepubliceerd:

1300 deelnemers

Beeld uit artikel

Een 63-jarige vrouw struikelt en breekt haar pols. De fractuur in de distale ulna blijkt door een lytische botafwijking te lopen. Een CT-scan laat geen andere botafwijkingen zien. Behalve een hypercalciĆ«mie en een verhoogde parathormoonspiegel is het laboratoriumonderzoek niet afwijkend. 

Wat is de diagnose?

Antwoord