Pseudoprogressie bij immuuntherapie

Klinische praktijk
Abstract
Foppie J. de Boer
Jos A. Stigt
F.J. Sabine Netters
Rutger H.T. Koornstra
Albert J. ten Tije
Jan Willem B. de Groot

Dames en Heren,

Immuuntherapie heeft de laatste jaren een grote opmars gemaakt in de oncologie. Het meest onderzocht zijn de zogenoemde ‘checkpoint’-remmers die gericht zijn tegen cytotoxisch T-lymfocyt-geassocieerd antigeen 4 (CTLA-4), ‘programmed death receptor 1’ (PD-1) of de ligand van PD-1 (PD-L1). De respons van tumoren op immuuntherapie is anders dan die op conventionele chemotherapie. Er lijkt soms sprake van ziekteprogressie bij beeldvormend onderzoek, maar later in de follow-up blijkt de tumor wel degelijk te reageren op de behandeling; dit fenomeen noemen we ‘pseudoprogressie’. Herkenning hiervan is relevant voor oncologisch specialisten en voor andere medici die te maken hebben met patiënten met kanker.

Toets voor nascholing (verlopen)

Aan dit artikel was een toets gekoppeld waarmee je nascholingspunten kon verdienen.

Bekijk de toets

Patiënt A, een vrouw van 63 jaar met diabetes mellitus, behandelden wij met de PD-1-remmer nivolumab vanwege een lymfogeen en cutaan gemetastaseerd melanoom (figuur 1). 6 maanden na aanvang van de therapie werd zij opgenomen in het ziekenhuis vanwege decompensatio cordis, mogelijk geluxeerd door een infectie. Patiënte herstelde vlot na behandeling met diuretica en antibiotica.

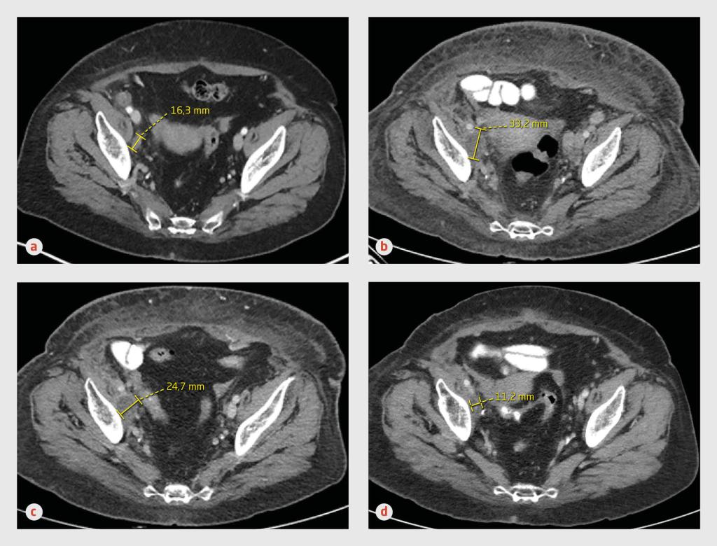
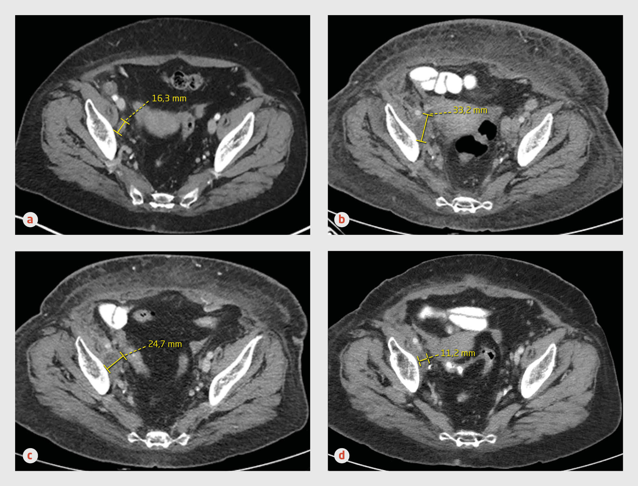
Figuur 1
Pseudoprogressie bij patiënt A
Figuur 1 | Pseudoprogressie bij patiënt A
Transversale CT-opnames van het abdomen van een 63-jarige vrouw met een lymfogeen en cutaan gemetastaseerd melanoom. (a) Op het moment dat gestart wordt met immuuntherapie met nivolumab is mediaal van het os ilium een pathologische lymfeklier met een diameter van 16 mm zichtbaar. (b) 6 maanden na aanvang van de immuuntherapie blijkt de lymfekliermetastase in grootte te zijn toegenomen. (c) 6 weken later is de lymfekliermetastase in grootte afgenomen. (d) 10 maanden na aanvang van de immuuntherapie is een complete remissie bereikt.

Bij responsevaluatie gedurende de opname namen de axillaire en intra-abdominale lymfekliermetastasen zowel in aantal als in grootte toe. De cutane metastase was echter wel afgenomen in grootte. Om die reden, maar ook omdat we geen aanwijzingen hadden voor een immuun-gemedieerde oorzaak van de decompensatio cordis, besloten wij de immuuntherapie te continueren.

6 weken later waren de lymfekliermetastasen fors in grootte afgenomen en na een behandelduur van 10 maanden was een complete remissie bereikt. Wij stopten de behandeling met nivolumab. Bij poliklinische controle 13 maanden nadat de immuuntherapie was gestopt, voelde patiënte zich uitstekend en waren…

Auteursinformatie

Isala, Zwolle. Oncologisch Centrum: drs. F.J. de Boer, aios interne geneeskunde (thans: Universitair Medisch Centrum Groningen); drs. F.J.S. Netters en dr. J.W.B. de Groot, internisten-oncologen. Afd. Longgeneeskunde: dr. J.A. Stigt, longarts. Rijnstate, afd. Interne Geneeskunde, Arnhem: dr. R.H.T. Koornstra, internist-oncoloog. Amphia Ziekenhuis, afd. Interne Geneeskunde, Breda: dr. A.J. ten Tije, internist-oncoloog.

Contact J.W.B. de Groot (j.w.b.de.groot@isala.nl)

Belangenverstrengeling

Belangenconflict en financiële ondersteuning: geen gemeld.

Auteur Belangenverstrengeling
Foppie J. de Boer ICMJE-formulier
Jos A. Stigt ICMJE-formulier
F.J. Sabine Netters ICMJE-formulier
Rutger H.T. Koornstra ICMJE-formulier
Albert J. ten Tije ICMJE-formulier
Jan Willem B. de Groot ICMJE-formulier
Heb je nog vragen na het lezen van dit artikel?
Check onze AI-tool en verbaas je over de antwoorden.
ASK NTVG

Ook interessant

Reacties