Het verborgen gevaar van een pandemie

Niet elke matglasafwijking duidt op covid-19

Klinische praktijk
Abstract
Marije T. van Dalfsen
Corine E. Delsing
Download PDF

Dames en Heren,

Tijdens een pandemie ligt een kokervisie op de loer, die mogelijk grote gevolgen heeft voor patiënten. In dit artikel willen wij u aan de hand van 3 casussen uit de eerste coronagolf bewust maken van dit gevaar. Ook bieden wij u handvatten om een kokervisie te voorkomen. Immers, niet elke matglasafwijking duidt op covid-19.

Kernpunten

Het klassieke beeld van covid-19 bestaat uit hoesten, kortademigheid en koorts.

Bij patiënten met covid-19 worden verhoogde ontstekingsparameters, lymfopenie en een verhoogde LDH- concentratie gezien; de CT-scan van de thorax toont matglasafwijkingen.

De gouden standaard om covid-19 aan te tonen is de PCR-test op SARS-CoV-2 in materiaal uit de nasofarynx; serologisch onderzoek kan de diagnose ‘covid-19’ ondersteunen.

Om kokervisie te voorkomen is een nauwkeurige anamnese van belang, met aandacht voor de medische voorgeschiedenis en het medicatiegebruik.

De differentiaaldiagnose bij een patiënt met een CO-RADS-score van 4 of 5 is uitgebreider dan alleen covid-19.

Ook in tijden van corona geldt: niet alles is wat het lijkt.

artikel

Patiënt A, een 30-jarige man die bekend is met middelenmisbruik (alcohol, amfetamine, cannabis en cocaïne), bezoekt de Spoedeisende Hulp, omdat hij sinds enkele dagen hoest en toenemend kortademig is. Bij lichamelijk onderzoek zien wij een niet-acuut zieke man met koorts en een zuurstofsaturatie van 99%, terwijl zuurstof wordt toegediend met 5 l/min. Bloedonderzoek geeft de volgende uitslagen (referentiewaarde tussen haakjes): lymfocytengetal: 1,48 x 109/l (1-3,5); CRP: 71 mg/l (< 10); natrium: 126 mmol/l (135-145); en LDH: 678 U/l (< 250). De thoraxfoto toont een ‘moppig’ beeld met diffuus verspreide consolidaties in beide longen, passend bij een atypische pneumonie (figuur 1a). Vanwege het vermoeden van covid-19 wordt patiënt opgenomen in strikte isolatie.

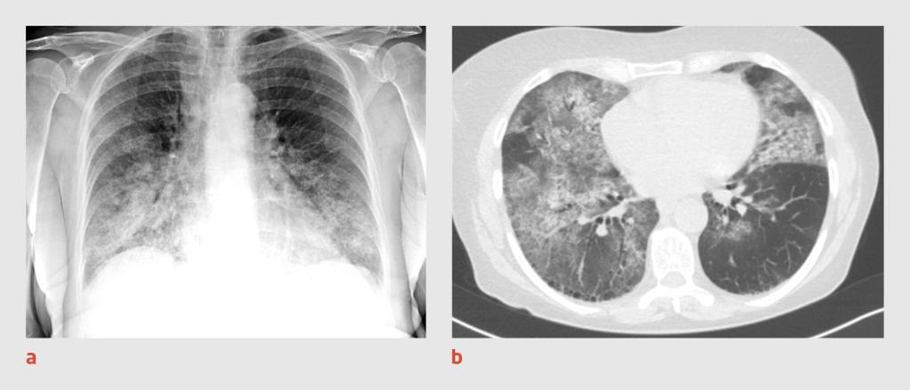
Figuur 1
Thoraxfoto en CT-thorax van patiënt A
Figuur 1 | Thoraxfoto en CT-thorax van patiënt A
(a) Thoraxfoto van een 30-jarige man waarop een ‘moppig’ beeld te zien is met diffuus verspreide consolidaties in beide longen, passend bij een atypische pneumonie. (b) Op de CT-scan van de thorax zijn in beide longen diffuus verspreide matglasafwijkingen en consolidaties zichtbaar, overeenkomstig een CO-RADS-score van 5.

Er wordt een PCR-test verricht op SARS-CoV-2 in materiaal uit de nasofarynx en patiënt wordt intraveneus behandeld met ceftriaxon 2 g 1 dd. De volgende dag blijkt de uitslag van de PCR-test negatief te zijn. Omdat wij nog steeds een sterk vermoeden van covid-19 hebben, wordt opnieuw een PCR-test verricht. Ook wordt er een CT-scan van de thorax gemaakt, waarop in beide longen diffuus verspreide matglasafwijkingen en consolidaties worden gezien (CO-RADS-score 5) (figuur 1b). Patiënt blijft zuurstofbehoeftig en wordt behandeld met chloroquine.

Omdat de uitslag van de PCR-test opnieuw negatief is, wordt een sputumkweek afgenomen. De uitslag van de PCR op het sputum is positief voor Pneumocystis jiroveci. De intraveneuze behandeling met ceftriaxon wordt omgezet in cotrimoxazol 1920 mg 3 dd. De behandeling met chloroquine wordt gestopt. Vanwege de hypoxemie behandelen wij patiënt met prednison 40 mg 2 dd gedurende 5 dagen. Serologisch onderzoek naar een hiv-infectie was positief, met een hoge virusconcentratie (‘viral load’) van 293.326 kopieën/ml en een aantal CD4+-cellen van 0,02 x 109/l (0,3-1,4). Patiënt herstelt spoedig en kan na enkele dagen naar huis worden ontslagen.

Tijdens een poliklinische controle na 1 week wordt gestart met een combinatiebehandeling met emtricitabine/tenofovir alafenamide en dolutegravir.

Patiënt B, een 82-jarige man die vanwege een lymfogeen gemetastaseerd urotheelcelcarcinoom wordt behandeld met pembrolizumab, bezoekt de Spoedeisende Hulp, omdat hij sinds 2 weken hoest en benauwd is. Hij heeft geen koorts gehad, is de laatste weken niet buitenshuis geweest en heeft geen contact gehad met covid-19-patiënten. Bij lichamelijk onderzoek zien we een matig zieke man met een zuurstofsaturatie van 92% zonder zuurstofsuppletie en een ademhalingsfrequentie van 18/min. Bij auscultatie van de longen horen we beiderzijds basaal crepitaties. Bloedonderzoek geeft de volgende uitslagen: lymfocytengetal: 1,08 x 109/l; CRP: 60 mg/l; en LDH: 326 U/l. De thoraxfoto toont een ‘moppig’ beeld met perifeer gelegen consolidaties in beide longen (figuur 2a). Patiënt wordt opgenomen in strikte isolatie onder de werkdiagnose ‘covid-19’.

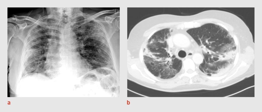
Figuur 2
Thoraxfoto en CT-thorax van patiënt B
Figuur 2 | Thoraxfoto en CT-thorax van patiënt B
(a) Thoraxfoto van een 82-jarige man waarop een ‘moppig’ beeld te zien is met perifeer gelegen consolidaties in beide longen. (b) Op de CT-scan van de thorax zijn in beide longen – met name in de bovenvelden – matglasafwijkingen en grillige consolidaties zichtbaar, overeenkomstig een CO-RADS-score van 4.

Er wordt een PCR-test verricht op SARS-CoV-2 in materiaal uit de nasofarynx en patiënt wordt intraveneus behandeld met ceftriaxon 2 g 1 dd. De volgende dag blijkt de uitslag van de PCR-test negatief te zijn. Omdat wij op basis van het klinische beeld nog steeds een sterk vermoeden van covid-19 hebben, wordt CT-onderzoek van de thorax verricht. Op de CT-scan worden in beide longen – met name in de bovenvelden – matglasafwijkingen en grillige consolidaties gezien (CO-RADS-score 4) (figuur 2b). De isolatiemaatregelen blijven gehandhaafd en er wordt nog tweemaal een PCR-test verricht, waarvan de uitslag beide keren negatief is.

Na overleg met de behandelend oncoloog concluderen we dat het klinische beeld en de afwijkingen op de CT-scan goed passen bij pneumonitis onder immunotherapie. Patiënt wordt behandeld met prednisolon 1 mg/kg per dag, waarna hij binnen enkele dagen opknapt en naar huis kan worden ontslagen. Patiënt wordt poliklinisch gevolgd, waarbij de thoraxfoto’s telkens een verbetering van het longbeeld laten zien. Op dit moment voelt patiënt zich goed en wordt de behandeling met prednisolon afgebouwd.

Patiënt C, een 71-jarige vrouw met hypertensie, bezoekt de Spoedeisende Hulp, omdat zij sinds enkele weken toenemend hoest en vermoeid is. Zij is niet kortademig en heeft geen koorts gehad. Bij lichamelijk onderzoek zien wij een niet-acuut zieke vrouw met een zuurstofsaturatie van 98%, terwijl zuurstof wordt toegediend met 2 l/min. Zij heeft een polsfrequentie van 154 slagen/min, wat blijkt te berusten op atriumfibrilleren de novo. Bloedonderzoek geeft onder meer de volgende uitslagen: leukocytengetal: 16,9 x 109/l (4-10); lymfocytengetal: 0,55 x109/l; CRP: 243 mg/l; kreatinine: 165 μmol/l (< 90); en LDH: 313 U/l. De thoraxfoto toont uitgebreide consolidaties in beide longen (figuur 3a). Patiënte wordt opgenomen in strikte isolatie onder de werkdiagnose ‘covid-19’.

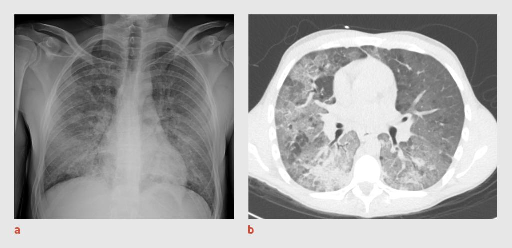
Figuur 3
Thoraxfoto en CT-thorax van patiënt C
Figuur 3 | Thoraxfoto en CT-thorax van patiënt C
(a) Thoraxfoto van een 71-jarige vrouw waarop in beide longen uitgebreide consolidaties te zien zijn. (b) Op de CT-scan van de thorax zijn uitgebreide peribronchovasculaire matglasafwijkingen met scherpe contouren (‘crazy paving’) en grillige consolidaties zichtbaar, overeenkomstig een CO-RADS-score van 5.

Er wordt een PCR-test verricht op SARS-CoV-2 in materiaal uit de nasofarynx en patiënte wordt intraveneus behandeld met ceftriaxon 2 g 1 dd. Ook krijgt zij digoxine voorgeschreven vanwege het nieuw ontstane atriumfibrilleren. Het urinesediment bevat 10-50 leukocyten/μl (< 10), > 150 erytrocyten/μl (0) en natrium 14 mmol/l (geen referentiewaarde, omdat de urinenatriumconcentratie onder andere wordt bepaald door het dieet). De nierinsufficiëntie wordt geduid als ‘prerenaal’ en passend bij een slechte vochtinname. Patiënte krijgt NaCl 0,9% 2 l/h toegediend per infuus. De volgende dag blijkt de uitslag van de PCR-test negatief te zijn. Omdat wij op basis van het klinische beeld nog steeds een vermoeden van covid-19 hebben, wordt CT-onderzoek van de thorax verricht. Op de CT-scan worden uitgebreide peribronchovasculaire matglasafwijkingen gezien met scherpe contouren (‘crazy paving’; CO-RADS-score 5) (figuur 3b); deze afwijkingen passen niet alleen bij covid-19, maar ook bij een P. jiroveci-pneumonie of een auto-immuunpneumonitis. Met een PCR-test konden in de bronchoalveolaire lavagevloeistof geen verwekkers, zoals SARS-CoV-2 of P. jiroveci, aangetoond worden. Vanwege het vermoeden van auto-immuunpneumonitis worden de concentraties van antinuclaire antistoffen (ANA) en antistoffen tegen het cytoplasma van neutrofiele granulocyten (ANCA) in het bloed bepaald.

Terwijl we op de uitslag van het bloedonderzoek wachten, wordt patiënte toenemend zuurstofbehoeftig. Ook blijkt dat de nierfunctie slechts minimaal is verbeterd, ondanks de toediening van vocht. Vanwege het vermoeden van een pneumonie of een interstitiële longziekte wordt patiënte oraal behandeld met ciprofloxacine 500 mg 2 dd en prednisolon 40 mg 1 dd. Ook krijgt zij zuurstof met een hoge ‘flow’ toegediend via een neuscanule.

De titer van antistoffen die gericht zijn tegen myeloperoxidase (MPO) bedraagt 172,4 kU/l (< 6,0), wat past bij ANCA-geassocieerde vasculitis. De dosering van prednisolon wordt opgehoogd naar 60 mg/dag en patiënte wordt aanvullend oraal behandeld met cyclofosfamide 1,75 mg/kg. Omdat de nierfunctie niet verbetert en er sprake is van een ‘actief’ urinesediment (dat wil zeggen: een urinesediment met erytrocyten of hyaliene cilinders), vermoeden wij vasculitis met aantasting van de nieren. Histopathologisch onderzoek van een nierbiopt bevestigt de diagnose ‘ANCA-geassocieerde vasculitis’. Patiënte herstelt en kan een week later naar huis worden ontslagen.

Patiënte wordt poliklinisch gevolgd. Op dit moment voelt zij zich naar omstandigheden goed en wordt de behandeling met prednisolon afgebouwd.

Beschouwing

Al bijna een jaar lang is de wereld in de greep van de covid-19-pandemie. Er wordt steeds meer duidelijk over het klinische beeld van covid-19. De klassieke patiënt met covid-19 presenteert zich met hoestklachten, kortademigheid en koorts. Bloedonderzoek toont verhoogde ontstekingsparameters, een lymfopenie en een verhoogde LDH-concentratie. Op de CT-scan van de thorax worden kenmerkende matglasafwijkingen gezien. Met name de CT-scan is erg sensitief om covid-19 aan te tonen.1,2 Tot op heden is de gouden standaard echter de PCR-test op SARS-CoV-2 in materiaal uit de nasofarynx. De sensitiviteit van de PCR-test is echter niet 100%, waardoor een patiënt die zich presenteert met het hiervoor genoemde klinische beeld wordt behandeld alsof hij covid-19 heeft, ook al is de PCR-testuitslag negatief, totdat er een andere verklaring is voor zijn klachten.3

Dit beleid is verdedigbaar, maar hierin schuilt een groot gevaar. Er zijn namelijk andere aandoeningen met een soortgelijk klinisch beeld, waarbij een snelle behandeling van levensbelang kan zijn. Voor zover ons bekend zijn er geen cijfers van het aantal patiënten dat ten onrechte is behandeld alsof zij covid-19 hadden. De 3 patiënten die wij in dit artikel beschrijven zijn slechts een greep uit de groep van patiënten die in ons ziekenhuis werden opgenomen vanwege het vermoeden van covid-19 en bij wie de diagnostiek en behandeling werden vertraagd door een kokervisie. Aan de hand van deze 3 patiënten geven wij hieronder handvatten om een kokervisie te voorkomen.

Handvatten

Bij patiënt A toonde de thoraxfoto het beeld van een atypische pneumonie. Ook had hij een verhoogde LDH-concentratie. Naast covid-19 moet dan ook gedacht worden aan een P. jiroveci-pneumonie. Dit type pneumonie komt met name voor bij immuungecompromitteerde patiënten, zoals patiënten met een hiv-infectie.4 Bij de anamnese werd echter geen aandacht besteed aan risicofactoren voor een hiv-infectie, zoals intraveneus drugsgebruik of risicovolle seksuele contacten. Deze casus illustreert de noodzaak van een zorgvuldige anamnese, ook in tijden van corona.

Daarnaast is de medische voorgeschiedenis en het medicatiegebruik van belang om een differentiaaldiagnose op te kunnen stellen. Zo kreeg patiënt B immunotherapie vanwege een lymfogeen gemetastaseerd urotheelcelcarcinoom. Wanneer wij bij deze patiënt al na de eerste negatieve PCR-testuitslag overlegd hadden met de behandelend oncoloog, dan was de diagnose ‘pneumonitis onder immunotherapie’ wellicht eerder gesteld, met als gevolg een snellere behandeling en mogelijk een kortere opnameduur. Ook bij patiënten die immunosuppressiva gebruiken moeten alarmbellen gaan rinkelen wanneer zij zich presenteren met hoestklachten en benauwdheid. Deze patiënten kunnen bijvoorbeeld door reactivatie van het cytomegalovirus een pneumonie ontwikkelen waarvan de klachten overeenkomen met die van covid-19.5

De bevindingen bij het aanvullend onderzoek moeten zorgvuldig geïnterpreteerd worden. Het CT-onderzoek van de thorax heeft een belangrijke plaats in de diagnostiek van covid-19. Op basis van de CO-RADS-classificatie wordt een score toegekend aan de CT-scan, waarbij een hogere score betekent dat het vermoeden van covid-19 sterker is (tabel).3 De beschreven casussen laten echter zien dat ook bij patiënten met een CO-RADS-score van 4 of 5 oplettendheid geboden is. Ook infecties met andere virussen dan SARS-CoV-2, zoals het influenzavirus of het herpes-simplexvirus, kunnen matglasafwijkingen veroorzaken. Ook bij een interstitiële longziekte kunnen matglasafwijkingen optreden, zoals recentelijk werd beschreven in dit tijdschrift.6

Tabel
CO-RADS-classificatie
Gestandaardiseerde manier om CT-scans van de thorax te beoordelen van patiënten bij wie covid-19 wordt vermoed
Tabel | CO-RADS-classificatie | Gestandaardiseerde manier om CT-scans van de thorax te beoordelen van patiënten bij wie covid-19 wordt vermoed

Ook moeten de uitslagen van het laboratoriumonderzoek worden meegenomen in de differentiaaldiagnostische overwegingen. Zo had patiënt C al bij opname een ‘actief’ urinesediment, maar hier werd verder geen aandacht aan besteed.

Voortschrijdend inzicht?

We hebben veel geleerd van de eerste coronagolf, maar ook tijdens de tweede golf ligt een kokervisie op de loer. Inmiddels is het mogelijk om met serologisch onderzoek vanaf de 4-7e ziektedag na te gaan of iemand covid-19 heeft of heeft gehad. Dit onderzoek kan uitgevoerd worden ter ondersteuning van de eerder genoemde onderzoeken.3 Ook zijn er antigeensneltesten ontwikkeld waarmee een specifiek viraal antigeen gedetecteerd kan worden. De sensitiviteit van deze is testen is echter nog onvoldoende onderzocht, waardoor deze nog geen vaste plaats hebben in de diagnostiek van covid-19.6,7

De Federatie Medisch Specialisten heeft een stroomschema ontwikkeld voor de diagnostiek van covid-19, waarin het CT-onderzoek van de thorax een belangrijke plaats heeft. In het schema wordt geadviseerd om bij patiënten met een CO-RADS-score van 4 of 5 de PCR-test, het serologisch onderzoek of beide te herhalen, alvorens aan een alternatieve diagnose te denken.3 Wij zijn echter van mening dat al bij de eerste negatieve PCR-testuitslag alarmbellen moeten gaan rinkelen. Het is inderdaad raadzaam om de PCR-test te herhalen, maar altijd in combinatie met ander aanvullend onderzoek, overleg met een radioloog en longarts, of beide.

Dames en Heren, hoewel we veel geleerd hebben van de eerste coronagolf, blijkt dat een kokervisie nog steeds op de loer ligt. Ook in tijden van corona is het belangrijk om bij een patiënt met luchtwegklachten een nauwkeurige anamnese af te nemen, met aandacht voor de medische voorgeschiedenis en het medicatiegebruik. Laat u niet verleiden tot overhaaste conclusies bij een patiënten met een CO-RADS-score van 4 of 5, gezien de uitgebreide differentiaaldiagnose. Ook tijdens de covid-19-pandemie geldt: niet alles is wat het lijkt.

Literatuur
  1. Murk JL, van de Biggelaar R, Stohr J, et al. De eerste honderd opgenomen COVID-19-patiënten in het Elisabeth-Tweesteden Ziekenhuis. Ned Tijdschr Geneeskd. 2020;164:D5002 Medline.

  2. Wiersinga WJ. SARS-CoV-2 in Nederland: de kliniek van een nieuw virus. Ned Tijdschr Geneeskd. 2020;164:D5021 Medline.

  3. Leidraad diagnostiek bij patiënt met opname-indicatie en verdenking op COVID-19. Utrecht: Federatie Medisch Specialisten; 2020.

  4. Thomas CF, Limper AH. Epidemiology, clinical manifestations, and diagnosis of Pneumocystis pneumonia in HIV-uninfected patients. UpToDate, geraadpleegd op 2 juni 2020.

  5. Kim EA, Lee KS, Primack SL, et al. Viral pneumonias in adults: radiologic and pathologic findings. Radiographics. 2002;22:S137-49. doi:10.1148/radiographics.22.suppl_1.g02oc15s137. Medline

  6. Van Gansewinkel TAG, de Rooy R, Latten G, Krdzalic J, Rosias PR. Een jongen met een zeldzame longziekte: COVID-19 vertroebelt onze denkwijze. Ned Tijdschr Geneeskd. 2020;164:D5214 Medline.

  7. Bonten MJM. Covid-19: hoe betrouwbaar zijn sneltesten? Ned Tijdschr Geneeskd. 2020;164:C4678.

Auteursinformatie

Medisch Spectrum Twente, afd. Interne Geneeskunde, Enschede: M.T. van Dalfsen, MSc, anios interne geneeskunde; dr. C.E. Delsing, internist-infectioloog.

Contact M.T. van Dalfsen (marije_vandalfsen@hotmail.com)

Belangenverstrengeling

Belangenconflict en financiële ondersteuning: geen gemeld.

Auteur Belangenverstrengeling
Marije T. van Dalfsen ICMJE-formulier
Corine E. Delsing ICMJE-formulier
Dit artikel is gepubliceerd in het dossier
Covid-19
Heb je nog vragen na het lezen van dit artikel?
Check onze AI-tool en verbaas je over de antwoorden.
ASK NTVG

Ook interessant

Reacties