Een vrouw met pijn rechtsonder in de buik

Wat is de diagnose?
Abstract
Hanneke P.F.X. Moonen
Gert Jan Spaargaren
Erik D. Ponfoort

Casus

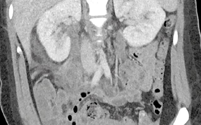
Een 59-jarige vrouw kwam op de Spoedeisende Hulp vanwege pijn rechtsonder in de buik sinds 4 dagen. Zij had drukpijn ter plaatse van het punt van McBurney en een CRP-waarde van 43 mg/l (referentiewaarde: < 4). Een echo liet een cilindrisch aanhangsel van het caecum zien, met een diameter van 18,3 mm. Omdat wij een slagschaduw zagen, met zichtbare wandlagen, een spoortje vrij vocht en induratie van het omliggende vetweefsel, werd het beeld geduid als appendicitis acuta met fecoliet (figuur 1a). Tijdens laparoscopie bleek sprake van een appendix sana (figuur 2) en een ongecompliceerde ontsteking van een caecumdivertikel (figuur…

Auteursinformatie

Ziekenhuis Gelderse Vallei, Ede, afd. Chirurgie: drs. H.P.F.X. Moonen, aios chirurgie; drs. E.D. Ponfoort, chirurg; afd. Radiologie: drs. G.J. Spaargaren, radioloog.

Contact H.P.F.X. Moonen (moonenh@zgv.nl)

Belangenverstrengeling

Belangenconflict en financiële ondersteuning: geen gemeld.

Auteur Belangenverstrengeling
Hanneke P.F.X. Moonen ICMJE-formulier
Gert Jan Spaargaren ICMJE-formulier
Erik D. Ponfoort ICMJE-formulier
Heb je nog vragen na het lezen van dit artikel?
Check onze AI-tool en verbaas je over de antwoorden.
ASK NTVG

Ook interessant

Reacties