Een man die de longen uit z’n lijf hoest

Röntgenbeeld
Abstract
Nikki D.M. van Luxemburg
Johan Schinkelshoek

Casus

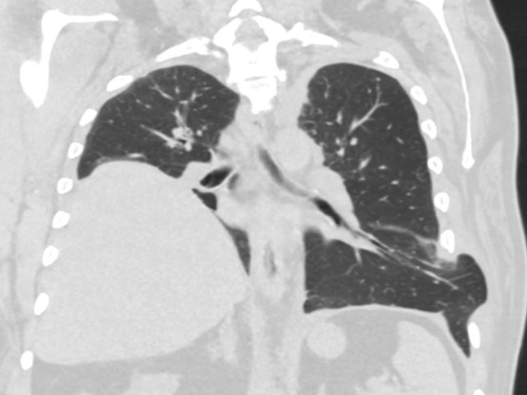
Een 66-jarige man kwam bij de huisarts met een sinds enkele dagen bestaande hoest. Hij was bekend met diabetes mellitus type 2, hypertensie en een bij toeval ontdekte hoogstand van de rechter diagfragmahelft met onbekende oorzaak. Omdat er op dat moment geen afwijkingen waren bij lichamelijk onderzoek, werd afgesproken om af te wachten.

Twee dagen later meldde de patiënt zich weer bij de huisarts. Na een stevige hoestbui was er pijn en een hematoom ontstaan in de linker flank (figuur a). Hij gebruikte geen antistolling. Het hematoom werd geduid als passend bij een gesprongen bloedvat. Gezien de klinisch stabiele…

Auteursinformatie

Maastricht: drs. N.D.M. van Luxemburg, waarnemend huisarts. drs. J. Schinkelshoek, huisarts.

Contact N.D.M van Luxemburg (huisartsvanluxemburg@outlook.com)

Belangenverstrengeling

Belangenconflict en financiële ondersteuning: geen gemeld.

Auteur Belangenverstrengeling
Nikki D.M. van Luxemburg ICMJE-formulier
Johan Schinkelshoek ICMJE-formulier
Dit artikel is gepubliceerd in het dossier
Huisartsgeneeskunde
Heb je nog vragen na het lezen van dit artikel?
Check onze AI-tool en verbaas je over de antwoorden.
ASK NTVG

Ook interessant

Reacties