Vroege bevindingen uit een ziekenhuis in Noord-Brabant

De eerste 29 COVID-19-patiënten in de kliniek

Klinische praktijk
Abstract
Nathalie Van der Moeren
Sander Talman
Wouter van den Bijllaardt
Merijn Kant
Peter Heukels
Robbert G. Bentvelsen
Daan W. Loth
Download PDF

Samenvatting

De pandemie met het nieuwe coronavirus (SARS-CoV-2) bereikte Nederland op 27 februari 2020 met aanvankelijk Noord-Brabant als brandpunt van de verspreiding. In de periode 2-13 maart werden 29 COVID-19-patiënten opgenomen in een topklinisch ziekenhuis in de regio. We beschrijven hier de patiëntkenmerken, de klinische presentatie en het ziektebeloop tijdens de eerste 2 weken van de epidemie. De analyse was vergelijkbaar met wat in de Chinese en Italiaanse literatuur is beschreven. Opvallend echter was het hogere percentage patiënten met gastro-intestinale klachten en het grote aantal patiënten met overgewicht of obesitas. De ervaring in ons ziekenhuis vroeg in de epidemie laat zien dat COVID-19 een ernstige aandoening is met risico op acute respiratoire verslechtering.

artikel

Op 27 februari werd in Nederland de eerste patiënt gemeld die besmet was met het nieuwe coronavirus (SARS-CoV-2).1 Hierna zagen we in 2 weken een forse toename in het aantal opgenomen patiënten met ‘coronavirus disease 2019’ (COVID-19).2 Uit de opgedane ervaringen met COVID-19-patiënten in Azië en Italië kregen we de eerste informatie over patiëntkenmerken en het beloop; opvallend is dat er veel IC-opnames plaatsvinden vanwege beademingsbehoefte.3-5 De meerderheid van de Nederlandse COVID-19-patiënten bevonden zich aanvankelijk in Noord-Brabant. Wij beschrijven hier de bevindingen bij de eerste 29 patiënten die in ons ziekenhuis werden opgenomen gedurende een periode van 11 dagen na opname van de eerste patiënt. De nadruk ligt op de symptomen en het aanvullend onderzoek bij presentatie. Opvallend is dat enkele bevindingen afwijken van wat beschreven wordt in de internationale literatuur.

Demografie

De eerste patiënt met COVID-19 werd opgenomen in ons centrum op 2 maart 2020. In de periode 2-13 maart werden in totaal 29 patiënten opgenomen van wie 10 vrouwen (34,5%) en 19 mannen (65,5%). 58,6% (n = 17) van de patiënten was 60 jaar of ouder. 69,0% (20) van de patiënten had één of meerdere comorbiditeiten, 71,4% (20) had overgewicht of obesitas. De rookstatus kon achterhaald worden voor 23 patiënten en binnen deze groep was 91% een niet-roker: 10 patiënten hadden nooit gerookt en 11 waren reeds jaren gestopt. De demografische en klinische data van alle patiënten staan beschreven in tabel 1.

Tabel 1
Demografische gegevens en comorbiditeiten van 29 patiënten met COVID-19 zoals vermeld in de opnamebrief
Tabel 1 | Demografische gegevens en comorbiditeiten van 29 patiënten met COVID-19 zoals vermeld in de opnamebrief

Klinische presentatie

Een schatting van de eerste ziektedag was bekend voor 26 patiënten. De gemiddelde duur tussen de eerste ziektedag en presentatie in het ziekenhuis was 6 dagen (spreiding: 1-14).

De klachten waarmee de patiënten zich op de SEH meldden staan in tabel 2. De meest voorkomende klachten uit de SEH-anamnese waren koorts (79,3%), malaise (75,9%), hoesten (62,1%) en dyspneu (48,3%). Gastro-intestinale klachten werden gemeld door 10 patiënten (34,5%). Verder waren er 5 patiënten (17,2%) met bovenbuikklachten. 3 patiënten meldden zich met hevige acute bovenbuikpijn als hoofdklacht; 2 van deze patiënten hadden verder alleen een loopneus.

Tabel 2
Symptomen van 29 patiënten met COVID-19, zoals vermeld in de anamnese bij opname in de opnamebrief
Tabel 2 | Symptomen van 29 patiënten met COVID-19, zoals vermeld in de anamnese bij opname in de opnamebrief

9 van de 29 patiënten (31,0%) hadden bij presentatie op de SEH een saturatie van minder dan 92% gemeten met een pulsoxymeter bij kamerlucht. In de subgroep van patiënten die tot en met 20 maart werden opgenomen op de IC hadden er 3 (20,0%) een saturatie van minder dan 92% bij opname.

Radiologische bevindingen

Bij opname werd van alle patiënten op 1 na een thoraxfoto gemaakt. Deze toonde afwijkingen bij 72% (21) van de patiënten. De radiologische bevindingen staan beschreven in tabel 3.

Tabel 3
Radiologische bevindingen bij 29 patiënten met COVID-19 op het moment van opname
Tabel 3 | Radiologische bevindingen bij 29 patiënten met COVID-19 op het moment van opname

Consolidaties werden gezien op 3 thoraxfoto’s (10,7%), toegenomen interstitiële tekening op 4 (14,2%) en een combinatie van toegenomen interstitiële tekening en consolidatie op 13 foto’s (46,4%). Bij de meeste patiënten waren dit perifeer gelegen, diffuus verspreide afwijkingen (figuur 1).

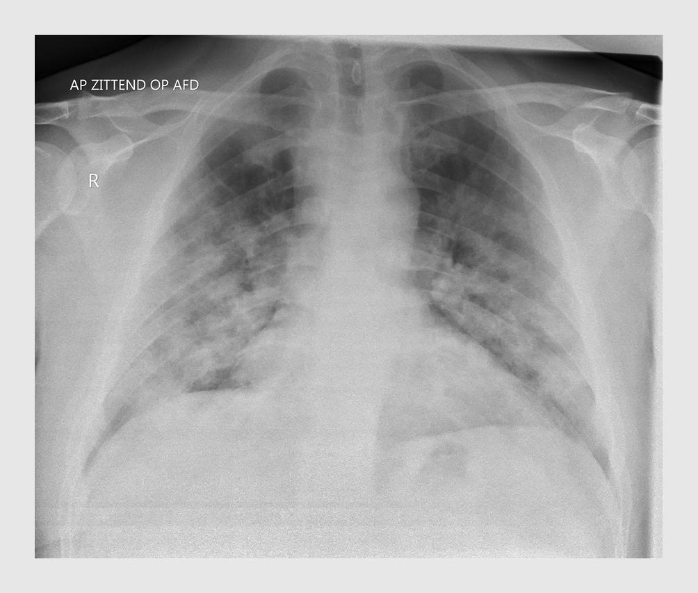
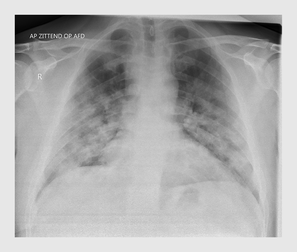
Figuur 1
Afwijkingen op longfoto bij COVID-19
Figuur 1 | Afwijkingen op longfoto bij COVID-19
Röntgenfoto van 1 van de 29 eerste patiënten met COVID-19 uit een ziekenhuis in Noord-Brabant met perifeer gelegen, diffuus verspreide afwijkingen. Op 46,6% van de foto’s was een combinatie van beiderzijds toegenomen interstitiële tekening en consolidaties te zien, zoals op dit voorbeeld.

Bij de 12 patiënten die tot en met 13 maart werden opgenomen op de IC was 75% van de thoraxfoto’s bij opname afwijkend. Bij 4 patiënten, die uiteindelijk allemaal in de periode tot en met 13 maart op de IC werden opgenomen, werd bij opname een CT van de thorax verricht. Bij 1 patiënt werd de thoraxfoto niet-afwijkend afgegeven en toonde de CT-scan wel een consolidatie. Voor de overige 3 CT-scans was de bevinding conform de thoraxfoto, waarbij de meest kenmerkende bevindingen diffuus verspreide peribronchiale centrale en perifere matglas afwijkingen waren (figuur 2). Daarnaast was er bij 1 van de CT-scans sprake van minimale mediastinale lymfadenopathie.

Figuur 2
Afwijkingen op CT-scan bij COVID-19
Figuur 2 | Afwijkingen op CT-scan bij COVID-19
CT-scans van 1 van de 29 eerste patiënten met COVID-19 uit een ziekenhuis in Noord-Brabant met diffuus verspreide peribronchiale centrale en perifere matglas afwijkingen.

Hematologisch en biochemisch onderzoek

Tabel 4 toont de belangrijkste laboratoriumbevindingen bij opname. De opvallendste bevindingen in het hematologische onderzoek waren een lymfopenie die bij 61% van de patiënten aanwezig was. De meeste patiënten (82,6%) hadden bij presentatie een niet-afwijkend leukocytengetal. Verder vielen een verhoogde bezinking (73,9%) en een lichte anemie (42,9%) op. Het klinisch-chemisch onderzoek liet vaak een verhoogde CRP-waarde (86,2%) en LDH-waarde (82,7%) zien. Een andere opvallende bevinding was dat de ASAT-waarde bij bijna alle patiënten (90,0%) verhoogd was en meer uitgesproken was dan de ALAT-waarde. Het albuminegehalte was bij 33% van de patiënten bij presentatie verlaagd. Stoornissen in de elektrolieten (natrium, kalium en calcium) werden nauwelijks gezien bij presentatie (data niet getoond).

Tabel 4
Belangrijkste laboratoriumbevindingen van 29 patiënten met COVID-19 bij opname
Tabel 4 | Belangrijkste laboratoriumbevindingen van 29 patiënten met COVID-19 bij opname

Microbiologie

De diagnose ‘COVID-19’ werd bij alle patiënten bevestigd door kwalitatieve SARS-CoV-2-RNA-detectie met ‘reverse’-transcriptase-polymerasekettingreactie (RT-PCR). Bij 1 patiënt nam de GGD 2 dagen voor opname een nasofarynxuitstrijk af vanwege een positief gezinslid. Bij de overige patiënten werd de diagnose bevestigd door PCR op een keeluitstrijk en werd geen nasofarynxuitstrijk verricht. De detectie van het E-gen was adequaat met een mediane ‘cycle-threshold’ (Ct) van 29,2 (interkwartielspreiding van 22,5-30,8). In totaal werd bij 6 patiënten opnieuw 1 of meerdere materialen getest met PCR. Materiaal uit de diepe luchtwegen (sputum) afgenomen tijdens opname gaven bij 2 van de 3 patiënten sterkere signalen, duidend op sensitievere detectie van het SARS-CoV-2.

In de periode tot en met 13 maart werd bij 1 patiënt uit een respiratoir monster een Aspergillus fumigatus gekweekt, bij een 2e patiënt een Staphylococcus aureus en bij een derde patiënt zowel Aspergillus fumigatus als Staphylococcus aureus. Bij de 1e patiënt met groei van Aspergillus uit sputum werd direct een behandeling met voriconazol en anidulafungine begonnen; de 2e patiënt met Aspergillus was overleden voordat de kweek bekend werd. Deze patiënten lagen allen op de IC. Daarom werden ze al behandeld met ceftriaxon in het kader van selectieve darmdecontaminatie en werd voor de S. aureus geen aanvullende therapie gegeven. 1 persoon had naast SARS-CoV-2 ook respiratoir syncytieel virus (RS-virus) in de keeluitstrijk. Na opname van 1 dag ter observatie werd deze patiënt in goede gezondheid naar huis ontslagen.

Behandeling

We behandelden 21 patiënten (72,4%) tot en met 13 maart met antivirale therapie volgens het RIVM-CIB/SWAB-advies van 3 maart 2020; remdesivir kon echter niet worden gegeven vanwege leveringsproblemen.6 Bij de meerderheid van de patiënten werd begonnen met de antivirale therapie naar aanleiding van positieve SARS-CoV-2-RNA-detectie met RT-PCR; minstens 2 patiënten kregen deze behandeling al eerder vanwege een sterke verdenking en ernstige ziekte. 10 patiënten (34,5%) kregen chloroquine-monotherapie; 8 van deze patiënten (27,6%) toonden klinische achteruitgang waarna we de chloroquine-monotherapie overzetten naar een combinatietherapie met chloroquine–lopinavir/ritonavir. 3 patiënten (10,3%) kregen direct combinatietherapie. Bij 2 patiënten was dit omdat de therapie op IC aanving; bij een 3e patiënt omdat deze acute respiratoire achteruitgang vertoonde op de afdeling. Bij 21 patiënten (72,4%) begonnen we op het moment van opname ook met empirische antibioticatherapie, bij de meerderheid van de patiënten op basis van de SWAB-richtlijn.

Beloop

Tussen 2 en 13 maart werden 12 patiënten (41,4%) opgenomen op de IC in verband met respiratoir falen. De demografische en klinische parameters van deze patiënten staan in tabel 1. Opname op de IC gebeurde gemiddeld 8,5 dagen (spreiding: 5-12) na de eerste ziektedag. De helft van deze patiënten was 60 jaar of ouder en 75% had 1 of meerdere comorbiditeiten. 91% van de patiënten op de IC had overgewicht of obesitas (BMI > 25). In de periode tot en met 13 maart hadden 7 IC-patiënten (58,3%) mechanische ventilatie nodig. 1 IC-patiënt kon worden ontslagen na een verblijfsduur van 2 dagen. De langstdurende IC opname tot en met 13 maart was 5 dagen.

In de periode van 2 tot en met 13 maart werden 4 patiënten naar huis ontslagen na een gemiddelde opnameduur van 4,5 dagen (spreiding: 2-9). 2 van deze patiënten hadden geen comorbiditeiten; 1 patiënt had 1 cardiovasculaire comorbiditeit en 1 patiënt had comorbiditeiten in meerdere categorieën. Tussen 2 maart en 13 maart overleden er 3 patiënten. De gemiddelde leeftijd van de overleden patiënten bedroeg 79 jaar (spreiding: 67-88) en allen waren cardiaal of pulmonaal belast.

Bespreking

De vroege bevindingen bij de COVID-19-patiënten die werden opgenomen in ons ziekenhuis komen deels overeen met wat in China en Italië wordt beschreven, maar een aantal zaken valt op.

De verdeling over de geslachten en leeftijdsgroepen lagen in de lijn van wat wordt beschreven in de Chinese literatuur: het merendeel van de opgenomen patiënten was man en 59% was ouder dan 60 jaar.3,4,7 Het aantal patiënten met comorbiditeiten was oververtegenwoordigd, zoals ook gerapporteerd wordt in de Chinese literatuur.3,4 Opvallend was wel dat drie kwart van de patiënten in ons cohort overgewicht of obesitas had, dit werd voor zover ons bekend nog niet gemeld in de Chinese studies. Ten slotte waren slechts 2 van de patiënten (9,5%) van wie de rookstatus bekend was, rokers. Ook in de Chinese studies rapporteert men slechts 3 tot 13% actieve rokers onder de geïncludeerde patiënten.3,4,7

Koorts, hoesten, malaise en myalgie waren, zoals beschreven in de literatuur,3,4,7,8 de meest voorkomende klachten, maar daarnaast kwamen gastro-intestinale symptomen in ons cohort veel vaker voor. In Wuhan worden braken en diarree bij 3-5% van de patiënten beschreven.3,4,7,8 In ons centrum werden braken en diarree gemeld door respectievelijk 24% en 21% van de patiënten.Daarnaast had 17% bovenbuikpijnklachten en was dit bij 3 patiënten (10,3%) de hoofdklacht bij presentatie.

In het laboratoriumonderzoek viel voornamelijk lymfocytopenie op; dit was aanwezig bij 60% van de patiënten. Het leukocytengetal was vaak niet afwijkend. Verder zagen we ook bij de meerderheid van de patiënten gestegen ASAT- en LDH-waarden. Deze bevindingen komen overeen met wat beschreven wordt in Wuhan.3,4 Met beeldvormende technieken werden met name perifeer gelegen consolidaties en confluerende infiltratieve afwijkingen gezien die, naar de mening van de radiologen, imponeerden als atypische infectieuze afwijkingen. Bij de patiënten bij wie een CT verricht werd is een beeld van perifeer gelegen gebieden van matglas-afwijkingen in beide longen te zien. Dergelijke afwijkingen worden beschreven bij COVID-19-infecties, maar ook bij andere oorzaken van een virale pneumonie.9

Van de patiënten opgenomen met COVID-19 kwam uiteindelijk 41% op de IC te liggen. Dit percentage ligt hoog vergeleken met Italiaanse cijfers (16%).8 Harde conclusies over dit verschil zijn niet te trekken, aangezien de selectiecriteria voor IC-opname en de capaciteitsproblemen in Italië waarschijnlijk een belangrijke rol hierbij spelen.

IC-opname vond gemiddeld 8 dagen na de eerste ziektedag plaats. Ook in China rapporteert men het ontstaan van ernstige ziekte gemiddeld 7 dagen nadat de symptomen zijn ontstaan.8 Van de patiënten die IC-behoeftig werden had 91% overgewicht of obesitas. Of deze opvallende bevinding er op wijst dat overgewicht een predictor is voor klinische verslechtering zal verder onderzocht moeten worden.

Hoewel we een relatief klein aantal patiënten beschrijven zeer vroeg in de uitbraak (11 dagen), vonden we al bij 3 patiënten aanwijzingen voor een bacteriële of fungale respiratoire superinfectie. De literatuur is beperkt, maar in een studie uit Wuhan werden superinfecties beschreven bij 15% van de klinische patiënten.3 Het blijft vermoedelijk belangrijk tijdig aandacht te hebben voor superinfecties als klinische verbetering stagneert; de gebruikelijke nadere diagnostiek, zoals bijvoorbeeld een bronchoscopie, dient dan ook overwogen te worden.

Tot slot

We hebben getracht een eerste beeld te schetsen van de ziekte COVID-19, de patiëntenpopulatie en het beloop bij patiënten opgenomen in ons ziekenhuis gedurende de eerste 11 dagen na opname van de eerste patiënt. Hoewel dit de aanloop van de epidemie is en meer details en kennis zullen volgen, imponeert dit ziektebeeld als ernstig en lijkt het zich niet alleen tot ouderen en zwakkeren te beperken. De potentieel acute verslechtering zorgt mogelijk ook in Nederland voor hoge morbiditeit en mortaliteit, wat maakt dat nader onderzoek naar determinanten van ziekte, nieuwe behandelingen en ondersteunende maatregelen essentieel is.

Update 20 maart 2020

Op het moment dat we de revisie van dit artikel indienden, op 20 maart 2020, verbleven 12 van de 29 patiënten in het cohort nog in het ziekenhuis: 7 waren opgenomen op de IC en 5 op de afdelingen. 8 patiënten konden met ontslag, 3 patiënten waren overgebracht naar een ander centrum en 6 patiënten waren overleden. Van de patiënten die in de periode van 2-13 maart opgenomen waren op de IC kon tot op 20 maart 1 patiënt naar de afdeling worden ontslagen.

Update 31 maart 2020

Op 31 maart 2020, verbleven 3 van de 29 patiënten in het cohort nog in ons ziekenhuis: 1 patiënt lag nog opgenomen op de IC in en 2 op de afdeling. 14 patiënten konden met ontslag, 5 patiënten werden overgebracht naar een ander centrum en 7 patiënten waren overleden.

Literatuur
  1. Alderweireld CEA, Buiting AGM, Murk JLAN, Verweij J, Berrevoets MAH, van Kasteren MEE. COVID-19: patiënt nul in Nederland. Ned Tijdschr Geneeskd. 2020;164:D4962

  2. Verspreiding nieuw coronavirus (COVID-19): https://www.rivm.nl/coronavirus/covid-19/verspreiding, geraadpleegd op 15 maart 2020.

  3. Huang C, Wang Y, Li X, Ren L, Zhao J, Hu Y, Zhang L, Fan G, et al. Clinical features of patients infected with 2019 novel coronavirus in Wuhan, China. Lancet. 2020;395:497-506. Medline

  4. Zhou F, et al. Clinical course and risk factors for mortality of adult inpatients with COVID-19 in Wuhan, China: a retrospective cohort study. Lancet. 2020;395:1054-1062. Medline

  5. Grasselli G, Pesenti A, Cecconi M. Critical Care Utilization for the COVID-19 Outbreak in Lombardy, Italy. Early Experience and Forecast During an Emergency Response. JAMA. 13 maart 2020 (epub). Medline

  6. Medicamenteuze behandelopties bij patiënten met COVID-19 (infecties met SARS-CoV-2) RIVM-CIB / SWAB-richtlijn COVID-19. Bilthoven: RIVM; 2020.

  7. Guan W, Ni Z, Hu Y, Liang W, Ou C, He J. Clinical Characteristics of Coronavirus Disease 2019 in China. N Engl J Med. 28 februari 2020 (epub) Medline

  8. Report of the WHO-China Joint Mission on Coronavirus Disease 2019 (COVID-19). Geneve, WHO; 2020.

  9. Bai HX, Hsieh B, Xiong Z, Halsey K, Choi JW, Tran TML, et al. Performance of radiologists in differentiating COVID-19 from viral pneumonia on chest CT. Radiology. 10 maart 2020 (epub). Medline

Auteursinformatie

Amphia Ziekenhuis, Breda. Afd. Microbiologie: drs. N. Van der Moeren, aios medische microbiologie; drs. W. van den Bijllaardt, arts-microbioloog; drs. R.G. Bentvelsen, arts-microbioloog (tevens LUMC, afd. Medische microbiologie). Afd. Longziekten: drs. S. Talman, aios longgeneeskunde; drs. M. Kant, longarts-intensivist; drs. P. Heukels, longarts; dr. D.W. Loth, longarts en klinisch-epidemioloog.

Contact N. van der Moeren (n.vdmoeren@gmail.com)

Belangenverstrengeling

Belangenconflict en financiële ondersteuning: geen gemeld.

Auteur Belangenverstrengeling
Nathalie Van der Moeren ICMJE-formulier
Sander Talman ICMJE-formulier
Wouter van den Bijllaardt ICMJE-formulier
Merijn Kant ICMJE-formulier
Peter Heukels ICMJE-formulier
Robbert G. Bentvelsen ICMJE-formulier
Daan W. Loth ICMJE-formulier
De kliniek van een nieuw virus
Dit artikel is gepubliceerd in het dossier
Covid-19
Heb je nog vragen na het lezen van dit artikel?
Check onze AI-tool en verbaas je over de antwoorden.
ASK NTVG

Ook interessant

Reacties