Cholecystitis als uiting van een melanoommetastase

Microscopisch beeld
Abstract
Sam Wijers
Bas Polle
Johan Janssen
Babs Zonderhuis
Mariette Labots
Pepijn Krielen

Beste collega’s,

In dit artikel beschrijven we een patiënt met gemetastaseerd melanoom. Aan de hand van deze casus illustreren wij het mogelijke abdominale metastaseringspatroon van het melanoom en de diagnostische uitdagingen rond een melanoommetastase in de galblaas.

Samenvatting

Achtergrond

De incidentie van invasieve melanomen stijgt jaarlijks met 3-4%; voor melanoom in situ zelfs met 6-7%. Melanoommetastasen worden meestal gezien in huid, longen, lever en hersenen, maar ook abdominale uitzaaiingen komen weleens voor, zoals in de galblaas.

Casus

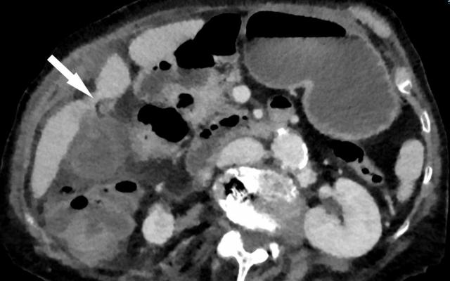
Wij beschrijven een 59-jarige man met een eerder behandeld melanoom op de behaarde hoofdhuid. Hij meldde zich met recidiverende buikpijn en anamnestisch melena. Vanwege het vermoeden van cholecystitis onderging hij met spoed een cholecystectomie. Nadien werd een galblaasmetastase van het melanoom vastgesteld.

Conclusie

Gastro-intestinale metastasen van een melanoom blijven vaak asymptomatisch en worden daardoor pas ontdekt bij complicaties, zoals obstructie, bloeding of perforatie. Bij patiënten met een melanoom in de voorgeschiedenis en nieuwe abdominale klachten of ijzergebreksanemie moet aan abdominale metastasering van het melanoom worden gedacht. Omdat intra-abdominale metastasen vaak multifocaal zijn, zijn beeldvormend en pathologisch onderzoek essentieel. De behandeling is primair systemisch en multidisciplinair, met eventueel aanvullende chirurgische verwijdering van symptomatische metastasen.

Auteursinformatie

Canisius-Wilhelmina Ziekenhuis, Nijmegen. Afd. Heelkunde: drs. S. Wijers, anios chirurgie; dr. B. Polle, chirurg; dr. P. Krielen, aios chirurgie. Afd. Oncologie: drs. J. Janssen, internist-oncoloog. Amsterdam UMC, Amsterdam. Afd. Heelkunde: drs. B. Zonderhuis, chirurg. Afd. Medische Oncologie: dr. M. Labots, internist-oncoloog.

Contact S. Wijers (sam.wijers@radboudumc.nl)

Belangenverstrengeling

Belangenconflict en financiële ondersteuning: geen gemeld.

Auteur Belangenverstrengeling
Sam Wijers ICMJE-formulier
Bas Polle ICMJE-formulier
Johan Janssen ICMJE-formulier
Babs Zonderhuis ICMJE-formulier
Mariette Labots ICMJE-formulier
Pepijn Krielen ICMJE-formulier
Dit artikel is gepubliceerd in het dossier
Huisartsgeneeskunde
Oncologie
Heb je nog vragen na het lezen van dit artikel?
Check onze AI-tool en verbaas je over de antwoorden.
ASK NTVG

Ook interessant

Reacties