Onsamenhangende spraak

Gepubliceerd:

999 deelnemers

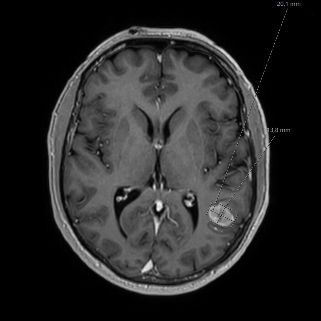
Een 61-jarige man komt op de SEH vanwege acuut ontstane onsamenhangende spraak. Hij spreekt wel vloeiend en zijn begrip is intact (audiofragment). Een CT-scan van de hersenen laat een afwijking met contrastaankleuring zien ter hoogte van het spraakcentrum. Na een eenmalige gift midazolam en intraveneuze behandeling met levetiracetam normaliseert de spraak. 

Wat is de diagnose?

Antwoord